EN
CD抗体
当前位置:首页 > 产品中心 > 抗体 > CD抗体
Mouse Monoclonal Antibody to CD276
All
  • CatalogTD-30103
  • ClonalitymAb
  • Application WB, IHC, IF, FCM
  • SynonymsB7H3; B7-H3; 4Ig-B7-H3; CD276
  • 规格
    100ul 50ul
  • 价格
    ¥2180
定制服务咨询

Mouse Monoclonal Antibody to CD276


Description
Costimulatory B7 molecules (e.g., B7-1, or CD80; MIM 112203) signal through CD28 (MIM 186760) family molecules such as CD28, CTLA4 (MIM 123890), and ICOS (MIM 604558). May participate in the regulation of T-cell-mediated immune response. May play a protective role in tumor cells by inhibiting natural-killer mediated cell lysis as well as a role of marker for detection of neuroblastoma cells. May be involved in the development of acute and chronic transplant rejection and in the regulation of lymphocytic activity at mucosal surfaces. Could also play a key role in providing the placenta and fetus with a suitable immunological environment throughout pregnancy. Both isoform 1 and isoform 2 appear to be redundant in their ability to modulate CD4 T-cell responses. Isoform 2 is shown to enhance the induction of cytotoxic T-cells and selectively stimulates interferon gamma production in the presence of T-cell receptor signaling.
Specification
Aliases B7H3; B7-H3; 4Ig-B7-H3; CD276
Entrez GeneID 80381
Swissprot Q5ZPR3
clone 6A1
WB Predicted band size 57kDa
Host/Isotype Mouse IgG1
Antibody Type Primary antibody
Storage Store at 4°C short term. Aliquot and store at -20°C long term. Avoid freeze/thaw cycles.
Species Reactivity Human,Mouse,Rat,Rabbit,Monkey
Immunogen Purified recombinant fragment of human CD276 expressed in E. Coli.
Formulation Purified antibody in PBS with 0.05% sodium azide.
Application
WB 1/500 - 1/2000
IHC 1/100 - 1/500
IF 1/50 - 1/500
FCM 1/200 - 1/400
ELISA 1/10000
Product Image
TD-301030.jpg
Western blot analysis using CD276 mouse mAb against NIH/3T3(1) NRK(2) C2C12(3) C6(4) L1210(5) COS7(6) CHO3D10(7) Hela(8)cell lysate.
 
TD-301031.jpg
Immunofluorescence analysis of NIH/3T3 cells using CD276 mouse mAb (green). Blue: DRAQ5 fluorescent DNA dye. Red: Actin filaments have been labeled with Alexa Fluor- 555 phalloidin.
TD-301032.jpg
Immunofluorescence analysis of RSC-96 cells using CD276 mouse mAb (green). Blue: DRAQ5 fluorescent DNA dye. Red: Actin filaments have been labeled with Alexa Fluor- 555 phalloidin.
TD-301034.png
Flow cytometric analysis of PC-3 cells using CD276 mouse mAb (green) and negative control (purple).
 
TD-301035.png
Flow cytometric analysis of C6 cells using CD276 mouse mAb (green) and negative control (red).
 
TD-301035.png
Flow cytometric analysis of NIH/3T3 cells using CD276 mouse mAb (green) and negative control (red).
TD-301036.jpg
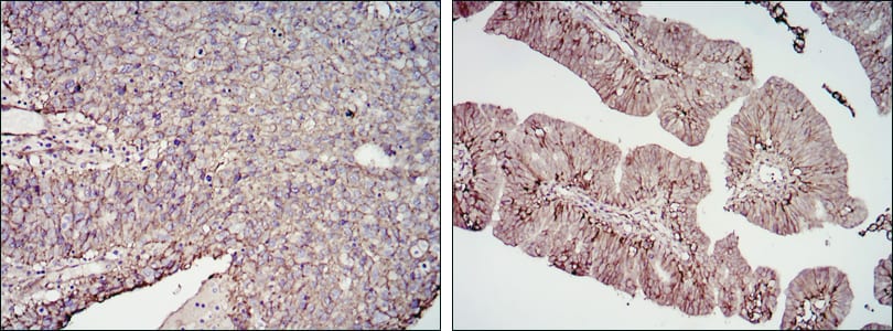
Immunohistochemical analysis of paraffin-embedded human cervical cancer tissues (left) and ovarian cancer tissues (right) using CD276 mouse mAb with DAB staining.
TD-301037.png
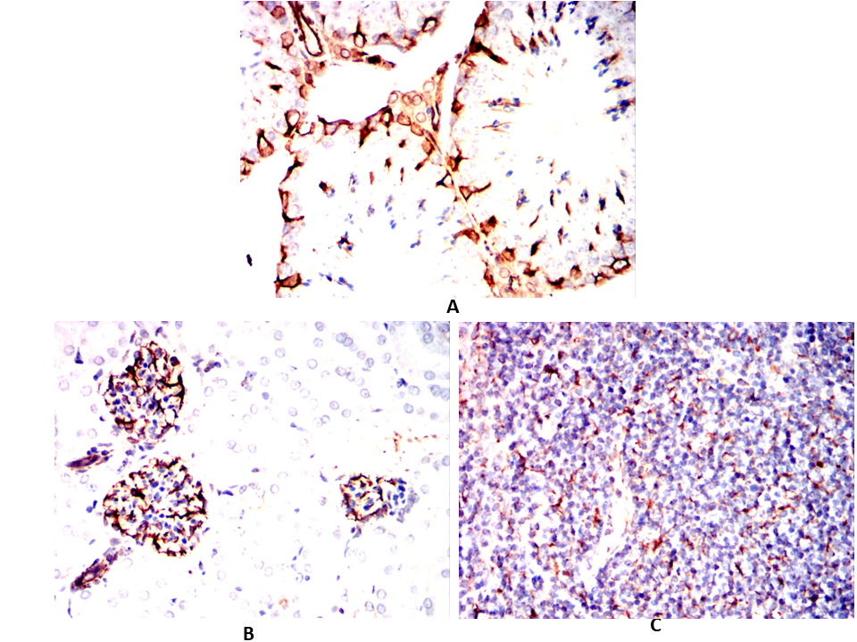
Immunohistochemical analysis of paraffin-embedded Mouse testicles(A)Mouse kidney(B)Mouse thymus(C) using CD276 mouse mAb with DAB staining.
TD-301038.png
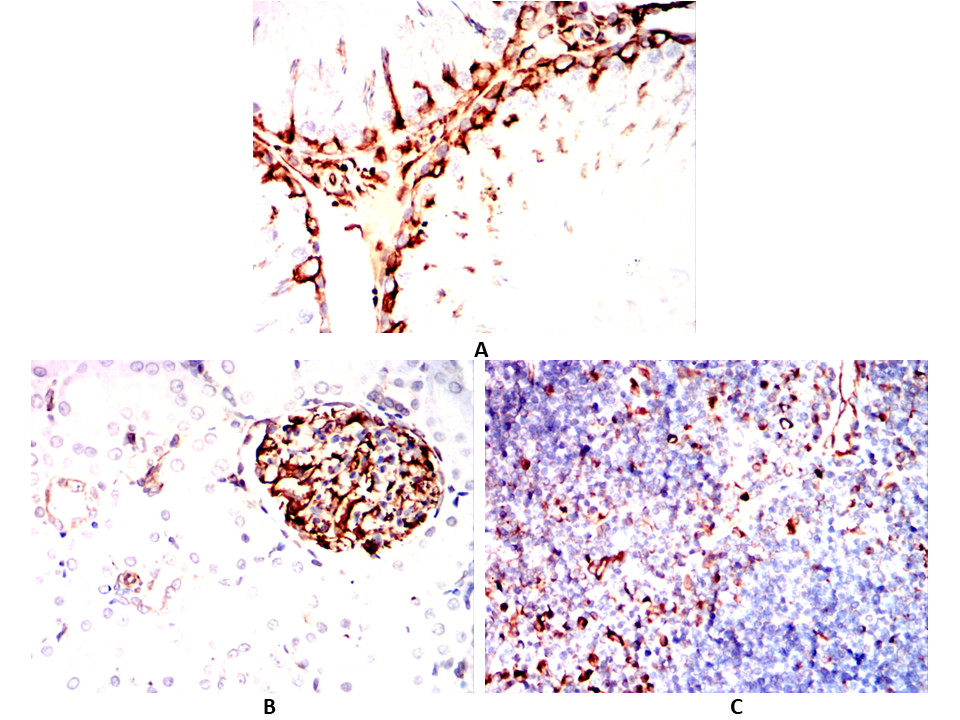
Immunohistochemical analysis of paraffin-embedded Rat testicles(A)Rat kidney(B)Rat thymus(C) using CD276 mouse mAb with DAB staining.
TD-301039.png
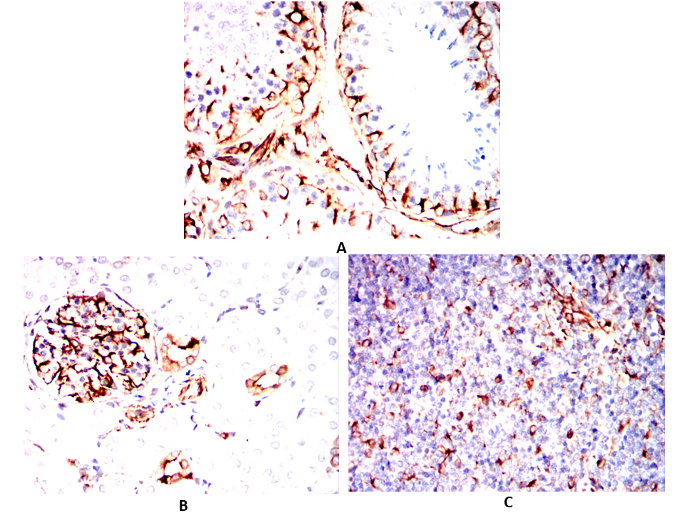
Immunohistochemical analysis of paraffin-embedded Rabbit testicles(A)Rabbit kidney(B)Rabbit thymus(C) using CD276 mouse mAb with DAB staining.