EN
CD抗体
当前位置:首页 > 产品中心 > 抗体 > CD抗体
CD247
All
WB
IHC
IHC
  • CatalogTD-P09453
  • ClonalitypAb
  • Application IHC, WB
  • SynonymsT3Z; CD3H; CD3Q; CD3Z; TCRZ; IMD25; CD3-ZETA
  • 规格
    100ul
  • 价格
    ¥1980
定制服务咨询

Rabbit Polyclonal Antibody to CD247


Description
The protein encoded by this gene is T-cell receptor zeta, which together with T-cell receptor alpha/beta and gamma/delta heterodimers, and with CD3-gamma, -delta and -epsilon, forms the T-cell receptor-CD3 complex. The zeta chain plays an important role in coupling antigen recognition to several intracellular signal-transduction pathways. Low expression of the antigen results in impaired immune response. Two alternatively spliced transcript variants encoding distinct isoforms have been found for this gene.
Specification
Aliases T3Z; CD3H; CD3Q; CD3Z; TCRZ; IMD25; CD3-ZETA
Swissprot P20963
WB Predicted band size 19 kDa
Host/Isotype Rabbit IgG
Antibody Type Primary antibody
Storage Store at 4°C short term. Aliquot and store at -20°C long term. Avoid freeze/thaw cycles.
Species Reactivity Human, Mouse
Immunogen Fusion protein of human CD247
Formulation Purified antibody in PBS with 0.05% sodium azide and 50% glycerol.
Application
WB 1/500-1/2000
IHC 1/25-1/100
ELISA 1/5000-1/10000
Product Image
TD-P09453-667056.png
Gel: 12%SDS-PAGE, Lysate: 40 μg, Lane: Jurkat cell lysate, Primary antibody: P09453(CD247 Antibody) at dilution 1/200, Secondary antibody: Goat anti rabbit IgG at 1/8000 dilution, Exposure time: 20 seconds
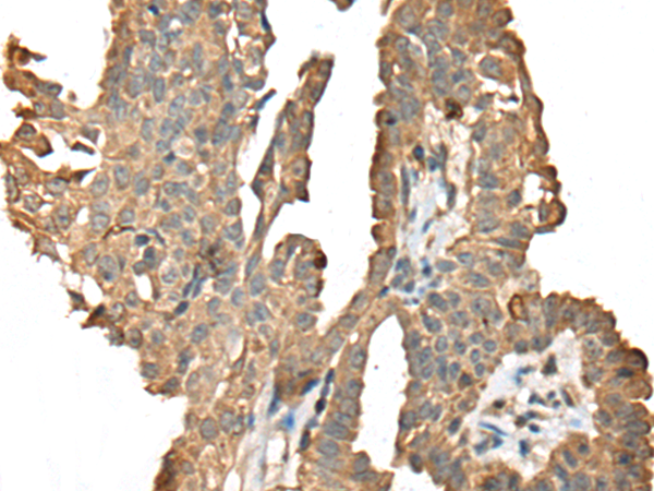
TD-P09453-667057.png
The image is immunohistochemistry of paraffin-embedded Human gastric cancer tissue using P09453(CD247 Antibody) at dilution 1/30. (Original magnification: ×200)
 
TD-P09453-667058.png
The image is immunohistochemistry of paraffin-embedded Human thyroid cancer tissue using P09453(CD247 Antibody) at dilution 1/30. (Original magnification: ×200)