EN
CD抗体
当前位置:首页 > 产品中心 > 抗体 > CD抗体
CD241
All
WB
IHC
IHC
  • CatalogTD-P23225
  • ClonalitypAb
  • Application WB, IHC
  • SynonymsRHAG; RH50; Ammonium transporter Rh type A; Erythrocyte membrane glycoprotein Rh50; Erythrocyte plasma membrane 50 kDa glycoprotein; Rh50A; Rhesus blood group family type A glycoprotein; Rh family type A glycoprotein; Rh type A glycoprotein; Rhesus blood group-associated ammonia channel; Rhesus blood group-associated glycoprotein; CD241
  • 规格
    100ul
  • 价格
    ¥2180
定制服务咨询

Rabbit Polyclonal Antibody to CD241


Description
Associated with rhesus blood group antigen expression.
Specification
Aliases RHAG; RH50; Ammonium transporter Rh type A; Erythrocyte membrane glycoprotein Rh50; Erythrocyte plasma membrane 50 kDa glycoprotein; Rh50A; Rhesus blood group family type A glycoprotein; Rh family type A glycoprotein; Rh type A glycoprotein; Rhesus blood group-associated ammonia channel; Rhesus blood group-associated glycoprotein; CD241
Entrez GeneID 6005
Swissprot Q02094
WB Predicted band size Calculated MW: 44 kDa; Observed MW: 44 kDa
Host/Isotype Rabbit IgG
Antibody Type Primary antibody
Storage Store at 4°C short term. Aliquot and store at -20°C long term. Avoid freeze/thaw cycles.
Species Reactivity Human
Immunogen The antiserum was produced against synthesized peptide derived from the N-terminal region of human RHAG. AA range:1-50
Formulation Purified antibody in PBS with 0.05% sodium azide,0.5%BSA and 50% glycerol.
Application
WB 1/500-1/1000
IHC 1/50-1/100
ELISA 1/10000
Product Image
TD-P232251.jpg
Western blot analysis of CD241 in K562 lysates using CD241 antibody.

 

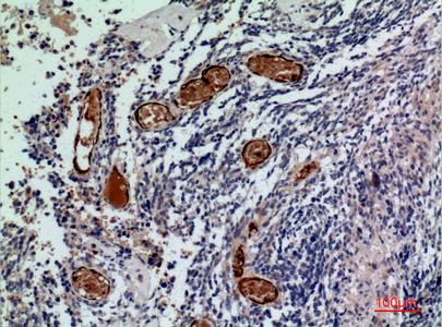
TD-P232252.jpg
Immunohistochemistry analysis of paraffin-embedded Human liver using CD241 antibody.High-pressure and temperature Sodium Citrate pH 6.0 was used for antigen retrieval.
TD-P232253.jpg
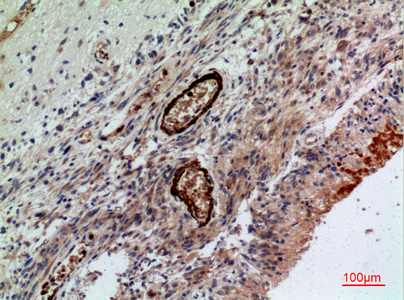
Immunohistochemistry analysis of paraffin-embedded Human brain using CD241 antibody.High-pressure and temperature Sodium Citrate pH 6.0 was used for antigen retrieval.
TD-P232254.jpg
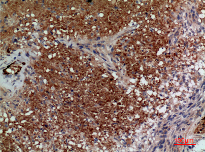
Immunohistochemistry analysis of paraffin-embedded Human brain using CD241 antibody.High-pressure and temperature Sodium Citrate pH 6.0 was used for antigen retrieval.
TD-P232255.jpg
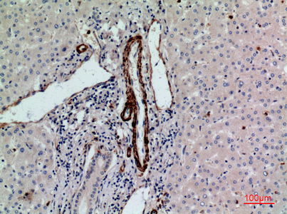
Immunohistochemistry analysis of paraffin-embedded Human brain using CD241 antibody.High-pressure and temperature Sodium Citrate pH 6.0 was used for antigen retrieval.
TD-P232256.jpg
Immunohistochemistry analysis of paraffin-embedded Human brain using CD241 antibody.High-pressure and temperature Sodium Citrate pH 6.0 was used for antigen retrieval.