EN
CD抗体
当前位置:首页 > 产品中心 > 抗体 > CD抗体
CD239
All
ELISA
FCM
IHC
  • CatalogTD-31624
  • ClonalitymAb
  • Application IHC, FCM
  • SynonymsBCAM; AU; LU; MSK19
  • 规格
    100ul 50ul
  • 价格
    ¥2180
定制服务咨询

Mouse Monoclonal Antibody to CD239


Description
This gene encodes Lutheran blood group glycoprotein, a member of the immunoglobulin superfamily and a receptor for the extracellular matrix protein, laminin. The protein contains five extracellular immunoglobulin domains, a single transmembrane domain, and a short C-terminal cytoplasmic tail. This protein may play a role in epithelial cell cancer and in vaso-occlusion of red blood cells in sickle cell disease. Polymorphisms in this gene define some of the antigens in the Lutheran system and also the Auberger system. Inactivating variants of this gene result in the recessive Lutheran null phenotype, Lu(a-b-), of the Lutheran blood group. Two transcript variants encoding different isoforms have been found for this gene.
 
Specification
Aliases BCAM; AU; LU; MSK19
Entrez GeneID 67.4kDa
Swissprot P50895
clone 5C5A6
WB Predicted band size 67.4kDa
Host/Isotype Mouse IgG2a
Antibody Type Primary antibody
Storage Store at 4°C short term. Aliquot and store at -20°C long term. Avoid freeze/thaw cycles.
Species Reactivity Human
Immunogen Purified recombinant fragment of human CD239 (AA: extra 32-197) expressed in E. Coli.
Formulation Purified antibody in PBS with 0.05% sodium azide
Application
IHC 1/200 - 1/1000
FCM 1/200 - 1/400
ELISA 1/10000
Product Image
TD-316241.jpg
Black line: Control Antigen (100 ng);Purple line: Antigen (10ng); Blue line: Antigen (50 ng); Red line:Antigen (100 ng)
TD-316242.jpg
Flow cytometric analysis of MOLT4 cells using CD239 mouse mAb (green) and negative control (red).
 
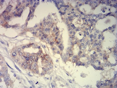
TD-316243.jpg
Immunohistochemical analysis of paraffin-embedded human lung cancer tissues using CD239 mouse mAb with DAB staining.
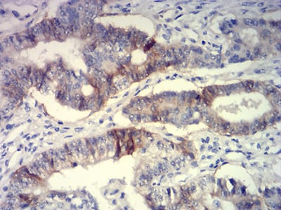
TD-316244.jpg
Immunohistochemical analysis of paraffin-embedded human ovarian cancer tissues using CD239 mouse mAb with DAB staining.