|

Black line: Control Antigen (100 ng);Purple line: Antigen (10ng); Blue line: Antigen (50 ng); Red line:Antigen (100 ng)
|
Flow cytometric analysis of Raji cells using CD227 mouse mAb (green) and negative control (red).
|
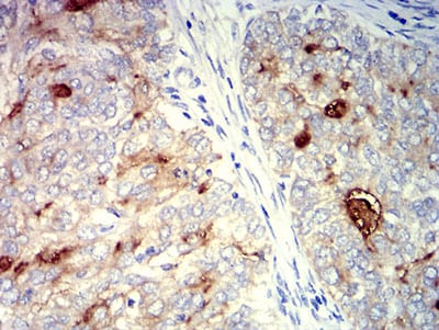
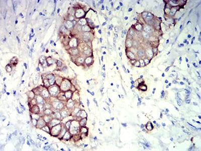
Immunohistochemical analysis of paraffin-embedded human cervical cancer tissues using CD227 mouse mAb with DAB staining.
|