EN
CD抗体
当前位置:首页 > 产品中心 > 抗体 > CD抗体
CD206
All
FCM
FCM
IHC
  • CatalogTD-32074
  • ClonalitymAb
  • Application IHC, FCM
  • SynonymsMMR; hMR; CD206; MRC1L1; CLEC13D; CLEC13DL; bA541I19.1
  • 规格
    100ul 50ul
  • 价格
    ¥2180
定制服务咨询

Mouse Monoclonal Antibody to CD206


Description
The recognition of complex carbohydrate structures on glycoproteins is an important part of several biological processes, including cell-cell recognition, serum glycoprotein turnover, and neutralization of pathogens. The protein encoded by this gene is a type I membrane receptor that mediates the endocytosis of glycoproteins by macrophages. The protein has been shown to bind high-mannose structures on the surface of potentially pathogenic viruses, bacteria, and fungi so that they can be neutralized by phagocytic engulfment.[provided by RefSeq, Sep 2015]
 
Specification
Aliases MMR; hMR; CD206; MRC1L1; CLEC13D; CLEC13DL; bA541I19.1
Entrez GeneID 4360
Swissprot P22897
clone 4B11C12
WB Predicted band size 166 kDa
Host/Isotype Mouse IgG2a
Antibody Type Primary antibody
Storage Store at 4°C short term. Aliquot and store at -20°C long term. Avoid freeze/thaw cycles.
Species Reactivity Human
Immunogen Purified recombinant fragment of human CD206 (AA: extra(19-218)) expressed in E. Coli.
Formulation Purified antibody in PBS with 0.05% sodium azide
Application
IHC 1/200 - 1/1000
FCM 1/200 - 1/400
Product Image
TD-320741.jpg
Flow cytometric analysis of MOLT4 cells using CD206 mouse mAb (green) and negative control (red).
TD-320742.jpg
Flow cytometric analysis of U937 cells using CD206 mouse mAb (green) and negative control (red).
TD-320743.jpg
Immunohistochemical analysis of paraffin-embedded human cervical cancer tissues using CD206 mouse mAb with DAB staining.
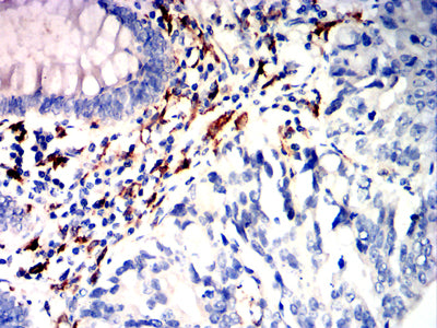
TD-320744.jpg
Immunohistochemical analysis of paraffin-embedded human rectal cancer tissues using CD206 mouse mAb with DAB staining.