EN
CD抗体
当前位置:首页 > 产品中心 > 抗体 > CD抗体
CD203C
All
ELISA
FCM
IHC
  • CatalogTD-31448
  • ClonalitymAb
  • Application IHC, FCM
  • SynonymsENPP3; B10; NPP3; PDNP3; PD-IBETA
  • 规格
    100ul 50ul
  • 价格
    ¥2180
定制服务咨询

Mouse Monoclonal Antibody to CD203C


Description
The protein encoded by this gene belongs to a series of ectoenzymes that are involved in hydrolysis of extracellular nucleotides. These ectoenzymes possess ATPase and ATP pyrophosphatase activities and are type II transmembrane proteins. Expression of the related rat mRNA has been found in a subset of immature glial cells and in the alimentary tract. The corresponding rat protein has been detected in the pancreas, small intestine, colon, and liver. The human mRNA is expressed in glioma cells, prostate, and uterus. Expression of the human protein has been detected in uterus, basophils, and mast cells. Two transcript variants, one protein coding and the other non-protein coding, have been found for this gene.
Specification
Aliases ENPP3; B10; NPP3; PDNP3; PD-IBETA
Entrez GeneID 5169
Swissprot O14638
clone 4C1H2
WB Predicted band size 100.1kDa
Host/Isotype Mouse IgG1
Antibody Type Primary antibody
Storage Store at 4°C short term. Aliquot and store at -20°C long term. Avoid freeze/thaw cycles.
Species  Reactivity Human
Immunogen Purified recombinant fragment of human CD203C (AA: extra 45-163) expressed in E. Coli.
Formulation Purified antibody in PBS with 0.05% sodium azide
Application
IHC 1/200 - 1/1000
FCM 1/200 - 1/400
ELISA 1/10000
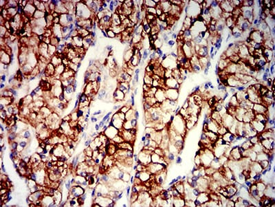
Product Image
TD-314481.jpg
Black line: Control Antigen (100 ng);Purple line: Antigen (10ng); Blue line: Antigen (50 ng); Red line:Antigen (100 ng)
TD-314482.jpg
Flow cytometric analysis of HL-60 cells using CD203C mouse mAb (green) and negative control (red).
TD-314483.jpg
 
Immunohistochemical analysis of paraffin-embedded human renal cancer tissues using CD203C mouse mAb with DAB staining.