EN
CD抗体
当前位置:首页 > 产品中心 > 抗体 > CD抗体
CD183
All
ELISA
WB
FCM
  • CatalogTD-31358
  • ClonalitymAb
  • Application FCM, IHC, WB
  • SynonymsCXCR3; GPR9; MigR; CD182; Mig-R; CKR-L2; CMKAR3; IP10-R
  • 规格
    100ul 50ul
  • 价格
    ¥2180
定制服务咨询

Mouse Monoclonal Antibody to CD183


Description
This gene encodes a G protein-coupled receptor with selectivity for three chemokines, termed CXCL9/Mig (monokine induced by interferon-g), CXCL10/IP10 (interferon-g-inducible 10 kDa protein) and CXCL11/I-TAC (interferon-inducible T cell a-chemoattractant). Binding of chemokines to this protein induces cellular responses that are involved in leukocyte traffic, most notably integrin activation, cytoskeletal changes and chemotactic migration. Alternatively spliced transcript variants encoding different isoforms have been found for this gene. One of the isoforms (CXCR3-B) shows high affinity binding to chemokine, CXCL4/PF4 (PMID:12782716).
Specification
Aliases CXCR3; GPR9; MigR; CD182; Mig-R; CKR-L2; CMKAR3; IP10-R
Entrez GeneID 2833
Swissprot P49682聽
clone 5C10E6
WB Predicted band size 40.7kDa
Host/Isotype Mouse IgG1
Antibody Type Primary antibody
Storage Store at 4°C short term. Aliquot and store at -20°C long term. Avoid freeze/thaw cycles.
Species Reactivity Human
Immunogen Purified recombinant fragment of human CD183 (AA: extra mix) expressed in E. Coli.
Formulation Purified antibody in PBS with 0.05% sodium azide
Application
WB 1/500 - 1/2000
IHC 1/200 - 1/1000
FCM 1/200 - 1/400
ELISA 1/10000
Product Image
TD-313581.jpg
Black line: Control Antigen (100 ng);Purple line: Antigen (10ng); Blue line: Antigen (50 ng); Red line:Antigen (100 ng)
TD-313582.jpg
Flow cytometric analysis of Jurkat cells using CD183 mouse mAb (green) and negative control (red).
TD-313583.jpg
Flow cytometric analysis of Jurkat cells using CD183 mouse mAb (green) and negative control (red).
TD-313584.jpg
Flow cytometric analysis of Ramos cells using CD183 mouse mAb (green) and negative control (red).
TD-313585.jpg
Flow cytometric analysis of Ramos cells using CD183 mouse mAb (green) and negative control (red).
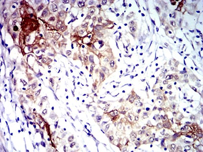
TD-313586.jpg
Immunohistochemical analysis of paraffin-embedded human esophageal cancer tissues using CD183 mouse mAb with DAB staining.