EN
CD抗体
当前位置:首页 > 产品中心 > 抗体 > CD抗体
CD182
All
ELISA
IF
FCM
  • CatalogTD-31561
  • ClonalitymAb
  • Application IHC, IF, FCM
  • SynonymsCXCR2; IL8R2; IL8RA; IL8RB; CMKAR2; CDw128b
  • 规格
    100ul 50ul
  • 价格
    ¥2180
定制服务咨询

Mouse Monoclonal Antibody to CD182


Description
The protein encoded by this gene is a member of the G-protein-coupled receptor family. This protein is a receptor for interleukin 8 (IL8). It binds to IL8 with high affinity, and transduces the signal through a G-protein activated second messenger system. This receptor also binds to chemokine (C-X-C motif) ligand 1 (CXCL1/MGSA), a protein with melanoma growth stimulating activity, and has been shown to be a major component required for serum-dependent melanoma cell growth. This receptor mediates neutrophil migration to sites of inflammation. The angiogenic effects of IL8 in intestinal microvascular endothelial cells are found to be mediated by this receptor. Knockout studies in mice suggested that this receptor controls the positioning of oligodendrocyte precursors in developing spinal cord by arresting their migration. This gene, IL8RA, a gene encoding another high affinity IL8 receptor, as well as IL8RBP, a pseudogene of IL8RB, form a gene cluster in a region mapped to chromosome 2q33-q36. Alternatively spliced variants, encoding the same protein, have been identified.
 
Specification
Aliases CXCR2; IL8R2; IL8RA; IL8RB; CMKAR2; CDw128b
Entrez GeneID 3579
Swissprot P25025
clone 5F7A11
WB Predicted band size 40.8kDa
Host/Isotype Mouse IgG1
Antibody Type Primary antibody
Storage Store at 4°C short term. Aliquot and store at -20°C long term. Avoid freeze/thaw cycles.
Species Reactivity Human
Immunogen Purified recombinant fragment of human CD182 expressed in E. Coli.
Formulation Purified antibody in PBS with 0.05% sodium azide
Application
IHC 1/200 - 1/1000
IF 1/100
FCM 1/200 - 1/400
ELISA 1/10000
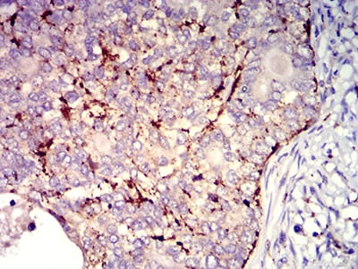
Product Image
TD-315611.jpg
Black line: Control Antigen (100 ng);Purple line: Antigen (10ng); Blue line: Antigen (50 ng); Red line:Antigen (100 ng)
TD-315613.jpg
Immunofluorescence analysis of Hela cells using CD182 mouse mAb (green). Blue: DRAQ5 fluorescent DNA dye. Red: Actin filaments have been labeled with Alexa Fluor- 555 phalloidin. Secondary antibody from Fisher (Cat#: 35503)
TD-315612.jpg
Flow cytometric analysis of HL-60 cells using CD182 mouse mAb (green) and negative control (red).
 
TD-315614.jpg
Flow cytometric analysis of HL-60 cells using CD182 mouse mAb (green) and negative control (red).