EN
CD抗体
当前位置:首页 > 产品中心 > 抗体 > CD抗体
CD179b
All
WB
IHC
  • CatalogTD-P23326
  • ClonalitymAb
  • Application WB, IHC
  • SynonymsIGLL1; IGL1; Immunoglobulin lambda-like polypeptide 1; CD179 antigen-like family member B; Ig lambda-5; Immunoglobulin omega polypeptide; Immunoglobulin-related protein 14.1; CD179b
  • 规格
    100ul 50ul
  • 价格
    ¥2180
定制服务咨询

Rabbit Polyclonal Antibody to CD179b


Description
Critical for B-cell development.
Specification
Aliases IGLL1; IGL1; Immunoglobulin lambda-like polypeptide 1; CD179 antigen-like family member B; Ig lambda-5; Immunoglobulin omega polypeptide; Immunoglobulin-related protein 14.1; CD179b
Entrez GeneID 3543
Swissprot P15814
WB Predicted band size Calculated MW: 23 kDa; Observed MW: 23 kDa
Host/Isotype Rabbit IgG
Antibody Type Primary antibody
Storage Store at 4°C short term. Aliquot and store at -20°C long term. Avoid freeze/thaw cycles.
Species Reactivity Human
Immunogen The antiserum was produced against synthesized peptide derived from the C-terminal region of human IGLL1. AA range:151-200
Formulation Purified antibody in PBS with 0.05% sodium azide,0.5%BSA and 50% glycerol.
Application
WB 1/500-1/1000
IHC 1/50-1/100
ELISA 1/10000
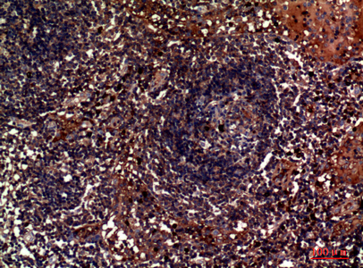
Product Image
TD-P233261.jpg
Western blot analysis of CD179b in KB lysates using CD179b antibody.
 
TD-P233262.jpg
Immunohistochemistry analysis of paraffin-embedded Human lymph using CD179b antibody.High-pressure and temperature Sodium Citrate pH 6.0 was used for antigen retrieval.