EN
CD抗体
当前位置:首页 > 产品中心 > 抗体 > CD抗体
CD172b
All
ELISA
IF
FCM
  • CatalogTD-32214
  • ClonalitymAb
  • Application IHC, IF, FCM
  • SynonymsSIRPB1; SIRP-BETA-1
  • 规格
    100ul 50ul
  • 价格
    ¥2180
定制服务咨询

Mouse Monoclonal Antibody to CD172b


Description
The protein encoded by this gene is a member of the signal-regulatory-protein (SIRP) family, and also belongs to the immunoglobulin superfamily. SIRP family members are receptor-type transmembrane glycoproteins known to be involved in the negative regulation of receptor tyrosine kinase-coupled signaling processes. This protein was found to interact with TYROBP/DAP12, a protein bearing immunoreceptor tyrosine-based activation motifs. This protein was also reported to participate in the recruitment of tyrosine kinase SYK. Multiple transcript variants encoding different isoforms have been found for this gene.
 
Specification
Aliases SIRPB1; SIRP-BETA-1
Entrez GeneID 10326
Swissprot O00241
clone 1B1G4
WB Predicted band size 43.2kDa
Host/Isotype Mouse IgG1
Antibody Type Primary antibody
Storage Store at 4°C short term. Aliquot and store at -20°C long term. Avoid freeze/thaw cycles.
Species Reactivity Human
Immunogen Purified recombinant fragment of human CD172b (AA: extra 72-309) expressed in E. Coli.
Formulation Purified antibody in PBS with 0.05% sodium azide
Application
IHC 1/200 - 1/1000
IF 1/50 - 1/200
FCM 1/200 - 1/400
ELISA 1/10000
Product Image
TD-322141.jpg
Black line: Control Antigen (100 ng);Purple line: Antigen (10ng); Blue line: Antigen (50 ng); Red line:Antigen (100 ng)
 
TD-322143.jpg
Immunofluorescence analysis of Hela cells using CD172b mouse mAb (green). Blue: DRAQ5 fluorescent DNA dye. Red: Actin filaments have been labeled with Alexa Fluor- 555 phalloidin. Secondary antibody from Fisher (Cat#: 35503)
TD-322142.jpg
Flow cytometric analysis of K562 cells using CD172b mouse mAb (green) and negative control (red).
TD-322144.jpg
Immunohistochemical analysis of paraffin-embedded human colon cancer tissues using CD172b mouse mAb with DAB staining.
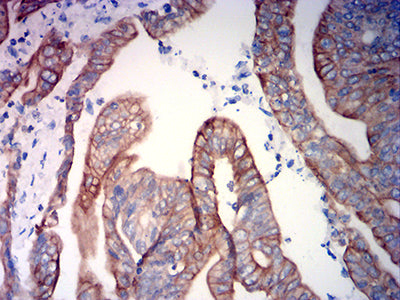
TD-322145.jpg
Immunohistochemical analysis of paraffin-embedded human prostate cancer tissues using CD172b mouse mAb with DAB staining.