EN
CD抗体
当前位置:首页 > 产品中心 > 抗体 > CD抗体
CD162 
All
ELISA
FCM
IHC
  • CatalogTD-32295
  • ClonalitymAb
  • Application IHC, FCM
  • SynonymsCLA; SELPLG; PSGL1; PSGL-1
  • 规格
    100ul 50ul
  • 价格
    ¥2180
定制服务咨询

Mouse Monoclonal Antibody to CD162


Description
This gene encodes a glycoprotein that functions as a high affinity counter-receptor for the cell adhesion molecules P-, E- and L- selectin expressed on myeloid cells and stimulated T lymphocytes. As such, this protein plays a critical role in leukocyte trafficking during inflammation by tethering of leukocytes to activated platelets or endothelia expressing selectins. This protein requires two post-translational modifications, tyrosine sulfation and the addition of the sialyl Lewis x tetrasaccharide (sLex) to its O-linked glycans, for its high-affinity binding activity. Aberrant expression of this gene and polymorphisms in this gene are associated with defects in the innate and adaptive immune response. Alternate splicing results in multiple transcript variants.
Specification
Aliases CLA; SELPLG; PSGL1; PSGL-1
Entrez GeneID 6404
Swissprot Q14242
clone 3D5E11
WB Predicted band size 43.2kDa
Host/Isotype Mouse IgG1
Antibody Type Primary antibody
Storage Store at 4°C short term. Aliquot and store at -20°C long term. Avoid freeze/thaw cycles.
Species Reactivity Human
Immunogen Purified recombinant fragment of human CD162 (AA: 42-320) expressed in E. Coli.
Formulation Purified antibody in PBS with 0.05% sodium azide
Application
IHC 1/200 - 1/1000
FCM 1/200 - 1/400
ELISA 1/10000
Product Image
TD-322951.jpg
Black line: Control Antigen (100 ng);Purple line: Antigen (10ng); Blue line: Antigen (50 ng); Red line:Antigen (100 ng)
TD-322954.jpg
Flow cytometric analysis of THP-1 cells using CD162 mouse mAb (green) and negative control (red).
TD-322952.jpg
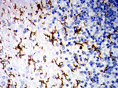
Immunohistochemical analysis of paraffin-embedded human cerebellum tissues using CD162 mouse mAb with DAB staining.
TD-322953.jpg
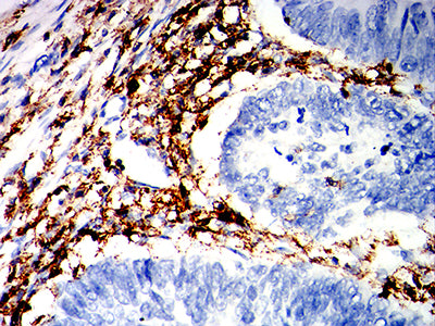
Immunohistochemical analysis of paraffin-embedded human rectum cancer tissues using CD162 mouse mAb with DAB staining.