EN
CD抗体
当前位置:首页 > 产品中心 > 抗体 > CD抗体
CD159a/c
All
WB
IHC
  • CatalogTD-P23312
  • ClonalitypAb
  • Application WB, IHC
  • SynonymsKLRC1; NKG2A; NKG2-A/NKG2-B type II integral membrane protein; CD159 antigen-like family member A; NK cell receptor A; NKG2-A/B-activating NK receptor; CD159a; KLRC2; NKG2C; NKG2-C type II integral membrane protein; CD159 antigen-like family member C; NK cell receptor C; NKG2-C-activating NK receptor; CD159c; KLRC3; NKG2E; NKG2-E type II integral membrane protein; NK cell receptor E; NKG2-E-activating NK receptor
  • 规格
    100ul
  • 价格
    ¥2180
定制服务咨询

Rabbit Polyclonal Antibody to CD159a/c


Description
Immune inhibitory receptor involved in self-nonself discrimination.
Specification
Aliases KLRC1; NKG2A; NKG2-A/NKG2-B type II integral membrane protein; CD159 antigen-like family member A; NK cell receptor A; NKG2-A/B-activating NK receptor; CD159a; KLRC2; NKG2C; NKG2-C type II integral membrane protein; CD159 antigen-like family member C; NK cell receptor C; NKG2-C-activating NK receptor; CD159c; KLRC3; NKG2E; NKG2-E type II integral membrane protein; NK cell receptor E; NKG2-E-activating NK receptor
Entrez GeneID 3821
Swissprot P26715
WB Predicted band size Calculated MW: 26 kDa; Observed MW: 26 kDa
Host/Isotype Rabbit IgG
Antibody Type Primary antibody
Storage Store at 4°C short term. Aliquot and store at -20°C long term. Avoid freeze/thaw cycles.
Species Reactivity Human
Immunogen The antiserum was produced against synthesized peptide derived from the Internal region of human KLRC1/2/3. AA range:101-150
Formulation Purified antibody in PBS with 0.05% sodium azide,0.5%BSA and 50% glycerol.
Application
WB 1/500-1/1000
IHC 1/50-1/100
ELISA  1/10000
Product Image

TD-P233121.jpg

Western blot analysis of CD159a/c in L929 lysates using CD159a/c antibody.

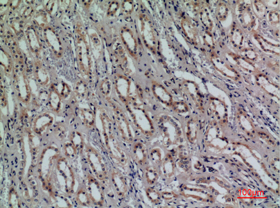
TD-P233122.jpg

Immunohistochemistry analysis of paraffin-embedded Human kidney using CD159a/c antibody.High-pressure and temperature Sodium Citrate pH 6.0 was used for antigen retrieval.