EN
CD抗体
当前位置:首页 > 产品中心 > 抗体 > CD抗体
CD158E1
All
ELISA
FCM
IHC
  • CatalogTD-31360
  • ClonalitymAb
  • Application FCM, ELISA, IHC
  • SynonymsKIR3DL1; KIR; NKB1; NKAT3; NKB1B; NKAT-3; KIR3DL1/S1
  • 规格
    100ul 50ul
  • 价格
    ¥2180
定制服务咨询

Mouse Monoclonal Antibody to CD158E1


Description
Killer cell immunoglobulin-like receptors (KIRs) are transmembrane glycoproteins expressed by natural killer cells and subsets of T cells. The KIR genes are polymorphic and highly homologous and they are found in a cluster on chromosome 19q13.4 within the 1 Mb leukocyte receptor complex (LRC). The gene content of the KIR gene cluster varies among haplotypes, although several "framework" genes are found in all haplotypes (KIR3DL3, KIR3DP1, KIR3DL4, KIR3DL2). The KIR proteins are classified by the number of extracellular immunoglobulin domains (2D or 3D) and by whether they have a long (L) or short (S) cytoplasmic domain. KIR proteins with the long cytoplasmic domain transduce inhibitory signals upon ligand binding via an immune tyrosine-based inhibitory motif (ITIM), while KIR proteins with the short cytoplasmic domain lack the ITIM motif and instead associate with the TYRO protein tyrosine kinase binding protein to transduce activating signals. The ligands for several KIR proteins are subsets of HLA class I molecules; thus, KIR proteins are thought to play an important role in regulation of the immune response.
Specification
Aliases KIR3DL1; KIR; NKB1; NKAT3; NKB1B; NKAT-3; KIR3DL1/S1
Entrez GeneID 3811
Swissprot P43629 
clone 2C3B6
WB Predicted band size 49kDa
Host/Isotype Mouse IgG1
Antibody Type Primary antibody
Storage Store at 4°C short term. Aliquot and store at -20°C long term. Avoid freeze/thaw cycles.
Species Reactivity Human
Immunogen Purified recombinant fragment of human CD158E1 (AA: extra 206-340) expressed in E. Coli.
Formulation Purified antibody in PBS with 0.05% sodium azide
Application
IHC 1/200 - 1/1000
FCM 1/200 - 1/400
ELISA 1/10000
Product Image

TD-313601.jpg

Black line: Control Antigen (100 ng);Purple line: Antigen (10ng); Blue line: Antigen (50 ng); Red line:Antigen (100 ng)

TD-313602.jpg

Flow cytometric analysis of HL-60 cells using CD158E1 mouse mAb (green) and negative control (red).

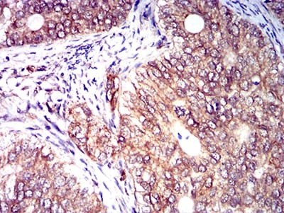
TD-313603.jpg

Immunohistochemical analysis of paraffin-embedded human cervical cancer tissues using CD158E1 mouse mAb with DAB staining.