EN
CD抗体
当前位置:首页 > 产品中心 > 抗体 > CD抗体
CD157
All
ELISA
WB
FCM
  • CatalogTD-32321
  • ClonalitymAb
  • Application WB, IHC, FCM
  • SynonymsBST1
  • 规格
    100ul 50ul
  • 价格
    ¥2180
定制服务咨询

Mouse Monoclonal Antibody to CD157


Description
Bone marrow stromal cell antigen-1 is a stromal cell line-derived glycosylphosphatidylinositol-anchored molecule that facilitates pre-B-cell growth. The deduced amino acid sequence exhibits 33% similarity with CD38. BST1 expression is enhanced in bone marrow stromal cell lines derived from patients with rheumatoid arthritis. The polyclonal B-cell abnormalities in rheumatoid arthritis may be, at least in part, attributed to BST1 overexpression in the stromal cell population.
Specification
Aliases BST1
Entrez GeneID 683
Swissprot Q10588
clone 1A4G4
WB Predicted band size 35.7kDa
Host/Isotype Mouse IgG2b
Antibody Type Primary antibody
Storage Store at 4°C short term. Aliquot and store at -20°C long term. Avoid freeze/thaw cycles.
Species Reactivity Human, Mouse, Rat
Immunogen Purified recombinant fragment of human CD157 (AA: 82-293) expressed in E. Coli.
Formulation Purified antibody in PBS with 0.05% sodium azide
Application
WB 1/500 - 1/2000
IHC 1/200 - 1/1000
FCM  1/200 - 1/400
ELISA 1/10000
Product Image
TD-323211.jpg
Black line: Control Antigen (100 ng);Purple line: Antigen (10ng); Blue line: Antigen (50 ng); Red line:Antigen (100 ng)

 

TD-323213.jpg
Western blot analysis using CD157 mouse mAb against Rat spleen (1) and Mouse spleen (2) cell lysate.
TD-323212.jpg
Flow cytometric analysis of HL-6O cells using CD157 mouse mAb (green) and negative control (red).
TD-323214.jpg
Immunohistochemical analysis of paraffin-embedded human brain tissues using CD157 mouse mAb with DAB staining.
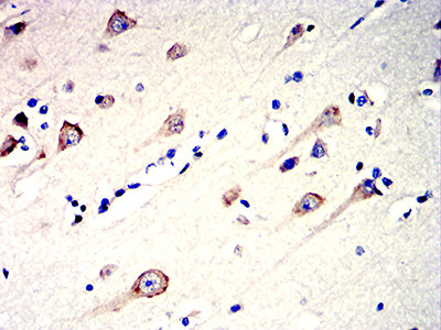
TD-323215.jpg
Immunohistochemical analysis of paraffin-embedded human cerebellum tissues using CD157 mouse mAb with DAB staining.