EN
CD抗体
当前位置:首页 > 产品中心 > 抗体 > CD抗体
CD156
All
ELISA
IF
FCM
  • CatalogTD-31602
  • ClonalitymAb
  • Application IHC, IF, FCM
  • SynonymsADAM8; MS2; CD156a
  • 规格
    100ul 50ul
  • 价格
    ¥2180
定制服务咨询

Mouse Monoclonal Antibody to CD156


Description
This gene encodes a member of the ADAM (a disintegrin and metalloprotease domain) family. Members of this family are membrane-anchored proteins structurally related to snake venom disintegrins, and have been implicated in a variety of biological processes involving cell-cell and cell-matrix interactions, including fertilization, muscle development, and neurogenesis. The protein encoded by this gene may be involved in cell adhesion during neurodegeneration, and it is thought to be a target for allergic respiratory diseases, including asthma. Alternative splicing results in multiple transcript variants.
Specification
Aliases ADAM8; MS2; CD156a
Entrez GeneID 101
Swissprot P78325
clone 2C1F3
WB Predicted band size 88.8kDa
Host/Isotype Mouse IgG2a
Antibody Type Primary antibody
Storage Store at 4°C short term. Aliquot and store at -20°C long term. Avoid freeze/thaw cycles.
Species Reactivity Human
Immunogen Purified recombinant fragment of human CD156 (AA: extra 17-156) expressed in E. Coli.
Formulation Purified antibody in PBS with 0.05% sodium azide
Application
IHC 1/200 - 1/1000
IF 1/200 - 1/1000
FCM 1/200 - 1/400
ELISA 1/10000
Product Image
TD-316021.jpg

Black line: Control Antigen (100 ng);Purple line: Antigen (10ng); Blue line: Antigen (50 ng); Red line:Antigen (100 ng)

TD-316023.jpg
Immunofluorescence analysis of Hela cells using CD156 mouse mAb (green). Blue: DRAQ5 fluorescent DNA dye. Red: Actin filaments have been labeled with Alexa Fluor- 555 phalloidin. Secondary antibody from Fisher (Cat#: 35503)
TD-316022.jpg
Flow cytometric analysis of HL-60 cells using CD156 mouse mAb (green) and negative control (red).
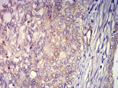
TD-316024.jpg
Immunohistochemical analysis of paraffin-embedded human cervical cancer tissues using CD156 mouse mAb with DAB staining.