EN
CD抗体
当前位置:首页 > 产品中心 > 抗体 > CD抗体
CD151
All
ELISA
FCM
IHC
  • CatalogTD-32094
  • ClonalitymAb
  • Application IHC, FCM
  • SynonymsGP27; MER2; RAPH; SFA1; PETA-3; TSPAN24
  • 规格
    100ul 50ul
  • 价格
    ¥2180
定制服务咨询

Mouse Monoclonal Antibody to CD151


Description
The protein encoded by this gene is a member of the transmembrane 4 superfamily, also known as the tetraspanin family. Most of these members are cell-surface proteins that are characterized by the presence of four hydrophobic domains. The proteins mediate signal transduction events that play a role in the regulation of cell development, activation, growth and motility. This encoded protein is a cell surface glycoprotein that is known to complex with integrins and other transmembrane 4 superfamily proteins. It is involved in cellular processes including cell adhesion and may regulate integrin trafficking and/or function. This protein enhances cell motility, invasion and metastasis of cancer cells. Multiple alternatively spliced transcript variants that encode the same protein have been described for this gene.
Specification
Aliases GP27; MER2; RAPH; SFA1; PETA-3; TSPAN24
Entrez GeneID 9.77E+02
Swissprot P48509 
clone 2B1F2
WB Predicted band size 28.3kDa
Host/Isotype Mouse IgG2a
Antibody Type Primary antibody
Storage Store at 4°C short term. Aliquot and store at -20°C long term. Avoid freeze/thaw cycles.
Species Reactivity Human
Immunogen Purified recombinant fragment of human CD151 (AA: extra 113-221) expressed in E. Coli.
Formulation Purified antibody in PBS with 0.05% sodium azide
Application
IHC 1/200 - 1/1000
FCM 1/200 - 1/400
ELISA 1/10000
Product Image
TD-320941.jpg
Black line: Control Antigen (100 ng);Purple line: Antigen (10ng); Blue line: Antigen (50 ng); Red line:Antigen (100 ng)
TD-320942.jpg
Flow cytometric analysis of Hela cells using CD151 mouse mAb (green) and negative control (red).
TD-320943.jpg
Immunohistochemical analysis of paraffin-embedded human liver cancer tissues using CD151 mouse mAb with DAB staining.
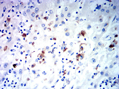
TD-320944.jpg
Immunohistochemical analysis of paraffin-embedded human endometrial cancer tissues using CD151 mouse mAb with DAB staining.