EN
CD抗体
当前位置:首页 > 产品中心 > 抗体 > CD抗体
Mouse Monoclonal Antibody to CD147
All
ELISA
FCM
IHC
  • CatalogTD-31324
  • ClonalitymAb
  • Application IHC, FCM
  • SynonymsBSG; OK; 5F7; TCSF; EMMPRIN
  • 规格
    100ul 50ul
  • 价格
    ¥2180
定制服务咨询

Mouse Monoclonal Antibody to CD147


Description
The protein encoded by this gene is a plasma membrane protein that is important in spermatogenesis, embryo implantation, neural network formation, and tumor progression. The encoded protein is also a member of the immunoglobulin superfamily. Multiple transcript variants encoding different isoforms have been found for this gene.
Specification
Aliases BSG; OK; 5F7; TCSF; EMMPRIN
Entrez GeneID 682
Swissprot P35613
clone 7H4D4
WB Predicted band size 42.2kDa
Host/Isotype Mouse IgG1
Antibody Type Primary antibody
Storage Store at 4°C short term. Aliquot and store at -20°C long term. Avoid freeze/thaw cycles.
Species  Reactivity Human
Immunogen Purified recombinant fragment of human CD147 (AA: extra 138-323) expressed in E. Coli.
Formulation Purified antibody in PBS with 0.05% sodium azide
Application
IHC 1/200 - 1/1000
FCM 1/200 - 1/400
ELISA 1/10000
Product Image

TD-313241.jpg

Black line: Control Antigen (100 ng);Purple line: Antigen (10ng); Blue line: Antigen (50 ng); Red line:Antigen (100 ng)

TD-313242.jpg

Flow cytometric analysis of K562 cells using CD147 mouse mAb (green) and negative control (red).

TD-313243.jpg

Immunohistochemical analysis of paraffin-embedded human ovarian cancer tissues using CD147 mouse mAb with DAB staining.
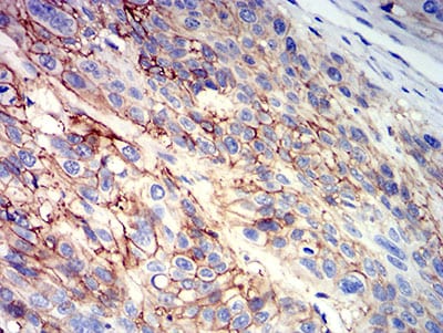
TD-313244.jpg
Immunohistochemical analysis of paraffin-embedded human esophageal cancer tissues using CD147 mouse mAb with DAB staining.