
Black line: Control Antigen (100 ng);Purple line: Antigen (10ng); Blue line: Antigen (50 ng); Red line:Antigen (100 ng)
|
Flow cytometric analysis of Raji cells using CD140a mouse mAb (green) and negative control (red).
|
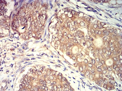
Immunohistochemical analysis of paraffin-embedded human cervical cancer tissues using CD140a mouse mAb with DAB staining.
|