EN
CD抗体
当前位置:首页 > 产品中心 > 抗体 > CD抗体
Mouse Monoclonal Antibody to CD133
All
ELISA
FCM
IHC
  • CatalogTD-30240
  • ClonalitymAb
  • Application IHC, FCM
  • SynonymsRP41; AC133; CD133; MCDR2; STGD4; CORD12; PROML1; MSTP061
  • 规格
    100ul 50ul
  • 价格
    ¥2180
定制服务咨询

Mouse Monoclonal Antibody to CD133


Description
This gene encodes a pentaspan transmembrane glycoprotein. The protein localizes to membrane protrusions and is often expressed on adult stem cells, where it is thought to function in maintaining stem cell properties by suppressing differentiation. Mutations in this gene have been shown to result in retinitis pigmentosa and Stargardt disease. Expression of this gene is also associated with several types of cancer. This gene is expressed from at least five alternative promoters that are expressed in a tissue-dependent manner. Multiple transcript variants encoding different isoforms have been found for this gene.
Specification
Aliases RP41; AC133; CD133; MCDR2; STGD4; CORD12; PROML1; MSTP061
Entrez GeneID 8842
Swissprot O43490
clone 3F10
WB Predicted band size 133kDa
Host/Isotype Mouse IgG1
Antibody Type Primary antibody
Storage Store at 4°C short term. Aliquot and store at -20°C long term. Avoid freeze/thaw cycles.
Species Reactivity Human
Immunogen Synthesized peptide of human CD133.
Formulation Purified antibody in PBS with 0.05% sodium azide.
Application
IHC 1/200 - 1/1000
FCM 1/200 - 1/400
ELISA 1/10000
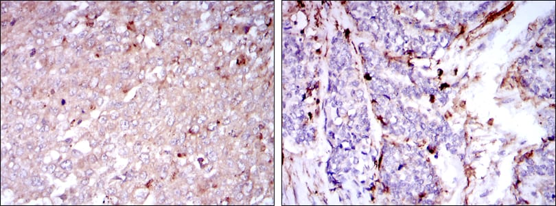
Product Image

TD-302403.jpg

Red: Control Antigen (100ng); Purple: Antigen (10ng); Green: Antigen (50ng); Blue: Antigen (100ng);

TD-302402.jpg

Flow cytometric analysis of Hela cells using CD133 mouse mAb (blue) and negative control (red).

TD-302401.jpg

 
Immunohistochemical analysis of paraffin-embedded human breast cancer tissues (left) and human esophageal cancer tissues (right) using CD133 mouse mAb with DAB staining.