EN
CD抗体
当前位置:首页 > 产品中心 > 抗体 > CD抗体
CD131
All
ELISA
WB
FCM
  • CatalogTD-31790
  • ClonalitymAb
  • Application WB, IHC, FCM
  • SynonymsCSF2RB; IL3RB; IL5RB; SMDP5; CDw131; betaGMR
  • 规格
    100ul 50ul
  • 价格
    ¥2180
定制服务咨询

Mouse Monoclonal Antibody to CD131


Description
The protein encoded by this gene is the common beta chain of the high affinity receptor for IL-3, IL-5 and CSF. Defects in this gene have been reported to be associated with protein alveolar proteinosis (PAP).
Specification
Aliases CSF2RB; IL3RB; IL5RB; SMDP5; CDw131; betaGMR
Entrez GeneID 1439
Swissprot P32927
clone 1D5E4
WB Predicted band size 97.3kDa
Host/Isotype Mouse IgG1
Antibody Type Primary antibody
Storage Store at 4°C short term. Aliquot and store at -20°C long term. Avoid freeze/thaw cycles.
Species Reactivity Human, Mouse, Rat
Immunogen Purified recombinant fragment of human CD131 (AA: extra 17-149) expressed in E. Coli.
Formulation Purified antibody in PBS with 0.05% sodium azide
Application
WB 1/500 - 1/2000
IHC 1/200 - 1/1000
FCM  1/200 - 1/400
ELISA 1/10000
Product Image

TD-317901.jpg

Black line: Control Antigen (100 ng);Purple line: Antigen (10ng); Blue line: Antigen (50 ng); Red line:Antigen (100 ng)

TD-317902.jpg

Western blot analysis using CD131 mouse mAb against NIH/3T3 (1), Hela (2), C6 (3),A549(4) and MCF-7 (5) cell lysate.

TD-317903.jpg

Flow cytometric analysis of Hela cells using CD131 mouse mAb (green) and negative control (red).

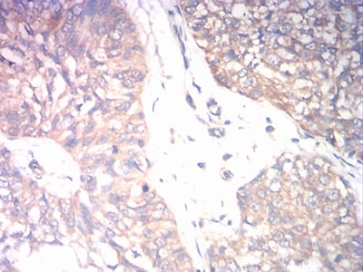
TD-317904.jpg

Immunohistochemical analysis of paraffin-embedded human bladder cancer tissues using CD131 mouse mAb with DAB staining.