EN
CD抗体
当前位置:首页 > 产品中心 > 抗体 > CD抗体
CD130
All
ELISA
WB
IF
  • CatalogTD-31685
  • ClonalitymAb
  • Application WB, IHC, IF, FCM
  • SynonymsIL6ST; GP130; CDW130; IL-6RB
  • 规格
    100ul 50ul
  • 价格
    ¥2180
定制服务咨询

Mouse Monoclonal Antibody to CD130


Description
The protein encoded by this gene is a signal transducer shared by many cytokines, including interleukin 6 (IL6), ciliary neurotrophic factor (CNTF), leukemia inhibitory factor (LIF), and oncostatin M (OSM). This protein functions as a part of the cytokine receptor complex. The activation of this protein is dependent upon the binding of cytokines to their receptors. vIL6, a protein related to IL6 and encoded by the Kaposi sarcoma-associated herpesvirus, can bypass the interleukin 6 receptor (IL6R) and directly activate this protein. Knockout studies in mice suggest that this gene plays a critical role in regulating myocyte apoptosis. Alternatively spliced transcript variants have been described. A related pseudogene has been identified on chromosome 17. [provided by RefSeq, May 2014]
Specification
Aliases IL6ST; GP130; CDW130; IL-6RB
Entrez GeneID 3572
Swissprot P40189
clone 8D4D2
WB Predicted band size 103.5kDa
Host/Isotype Mouse IgG1
Antibody Type Primary antibody
Storage Store at 4°C short term. Aliquot and store at -20°C long term. Avoid freeze/thaw cycles.
Species Reactivity Human,Monkey
Immunogen Purified recombinant fragment of human CD130 (AA: extra 73-231) expressed in E. Coli.
Formulation Purified antibody in PBS with 0.05% sodium azide
Application
WB 1/500 - 1/2000
IHC 1/200 - 1/1000
IF 1/200 - 1/1000
FCM  1/200 - 1/400
ELISA 1/10000
Product Image

TD-316851.jpg

Black line: Control Antigen (100 ng);Purple line: Antigen (10ng); Blue line: Antigen (50 ng); Red line:Antigen (100 ng)

TD-316852.jpg

Western blot analysis using CD130 mouse mAb against COS7 (1) cell lysate.

TD-316854.jpg

Immunofluorescence analysis of Hela cells using CD130 mouse mAb (green). Blue: DRAQ5 fluorescent DNA dye. Red: Actin filaments have been labeled with Alexa Fluor- 555 phalloidin. Secondary antibody from Fisher (Cat#: 35503)

TD-316853.jpg

Flow cytometric analysis of HL-60 cells using CD130 mouse mAb (green) and negative control (red).

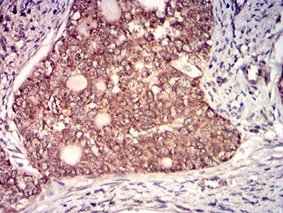
TD-316855.jpg

Immunohistochemical analysis of paraffin-embedded human cervical cancer tissues using CD130 mouse mAb with DAB staining.