EN
CD抗体
当前位置:首页 > 产品中心 > 抗体 > CD抗体
CD126
All
ELISA
WB
IF
  • CatalogTD-32241
  • ClonalitymAb
  • Application WB, IHC, IF, FCM
  • SynonymsIL6Q; gp80; CD126; HIES5; IL-6R; IL6RA; IL6RQ; IL-1Ra; IL-6RA; IL6QTL; IL-6R-1
  • 规格
    100ul 50ul
  • 价格
    ¥2180
定制服务咨询

Mouse Monoclonal Antibody to CD126


Description
This gene encodes a subunit of the interleukin 6 (IL6) receptor complex. Interleukin 6 is a potent pleiotropic cytokine that regulates cell growth and differentiation and plays an important role in the immune response. The IL6 receptor is a protein complex consisting of this protein and interleukin 6 signal transducer (IL6ST/GP130/IL6-beta), a receptor subunit also shared by many other cytokines. Dysregulated production of IL6 and this receptor are implicated in the pathogenesis of many diseases, such as multiple myeloma, autoimmune diseases and prostate cancer. Alternatively spliced transcript variants encoding distinct isoforms have been identified in this gene. A pseudogene of this gene is found on chromosome 9. [provided by RefSeq, Aug 2020]
Specification
Aliases IL6Q; gp80; CD126; HIES5; IL-6R; IL6RA; IL6RQ; IL-1Ra; IL-6RA; IL6QTL; IL-6R-1
Entrez GeneID 3570
Swissprot P08887
clone​​​​​​​ 8F7G6
WB Predicted  band size 52kDa
Host/Isotype Mouse IgG1
Antibody Type Primary antibody
Storage​​​​​​​ Store at 4°C short term. Aliquot and store at -20°C long term. Avoid freeze/thaw cycles.
Species Reactivity Human, Mouse
Immunogen​​​​​​​ Purified recombinant fragment of human CD126 (AA: EXTRA 20-177) expressed in E. Coli.
Formulation Purified antibody in PBS with 0.05% sodium azide
Application
WB 1/500 - 1/2000
IHC​​​​​​​ 1/200 - 1/1000
IF 1/200 - 1/1000
FCM​​​​​​​ 1/200 - 1/400
ELISA 1/10000
Product Image

TD-322411.jpg

Black line: Control Antigen (100 ng);Purple line: Antigen (10ng); Blue line: Antigen (50 ng); Red line:Antigen (100 ng)

TD-322412.jpg

Western blot analysis using CD126 mouse mAb against Jurkat (1), MOLT4 (2), Raw264.7 (3)and THP-1 (4) cell lysate.

TD-322417.jpg

 Immunofluorescence analysis of Hela cells using CD126 mouse mAb (green). Blue: DRAQ5 fluorescent DNA dye. Red: Actin filaments have been labeled with Alexa Fluor- 555 phalloidin. Secondary antibody from Fisher (Cat#: 35503)

TD-322413.jpg

Flow cytometric analysis of Jurkat cells using CD126 mouse mAb (green) and negative control (red).

TD-322414.jpg

Flow cytometric analysis of K562 cells using CD126 mouse mAb (green) and negative control (red).

TD-322415.jpg

Flow cytometric analysis of THP-1 cells using CD126 mouse mAb (green) and negative control (red).

TD-322416.jpg

Flow cytometric analysis of U937 cells using CD126 mouse mAb (green) and negative control (red).

TD-322418.jpg

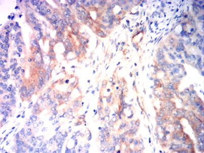
Immunohistochemical analysis of paraffin-embedded human ovarian cancer tissues using CD126 mouse mAb with DAB staining.

TD-322419.jpg

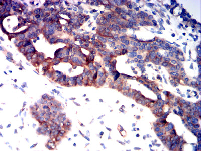
Immunohistochemical analysis of paraffin-embedded human rectal cancer tissues using CD126 mouse mAb with DAB staining.