EN
CD抗体
当前位置:首页 > 产品中心 > 抗体 > CD抗体
CD114
All
ELISA
WB
FCM
  • CatalogTD-31389
  • ClonalitymAb
  • Application FCM, IHC, WB
  • SynonymsCSF3R; SCN7; GCSFR
  • 规格
    100ul 50ul
  • 价格
    ¥2180
定制服务咨询

Mouse Monoclonal Antibody to CD114


Description
The protein encoded by this gene is the receptor for colony stimulating factor 3, a cytokine that controls the production, differentiation, and function of granulocytes. The encoded protein, which is a member of the family of cytokine receptors, may also function in some cell surface adhesion or recognition processes. Alternatively spliced transcript variants have been described. Mutations in this gene are a cause of Kostmann syndrome, also known as severe congenital neutropenia.
Specification
Aliases CSF3R; SCN7; GCSFR
Entrez GeneID 1441
Swissprot Q99062
clone 8F8B12
WB Predicted  band size 92.2kDa
Host/Isotype Mouse IgG1
Antibody Type Primary antibody
Storage Store at 4°C short term. Aliquot and store at -20°C long term. Avoid freeze/thaw cycles.
Species Reactivity Human
Immunogen Purified recombinant fragment of human CD114 (AA: extra 25-187) expressed in E. Coli.
Formulation Purified antibody in PBS with 0.05% sodium azide
Application
WB 1/500 - 1/2000
IHC 1/200 - 1/1000
FCM 1/200 - 1/400
ELISA 1/10000
Product Image
TD-313891.jpg
Black line: Control Antigen (100 ng);Purple line: Antigen (10ng); Blue line: Antigen (50 ng); Red line:Antigen (100 ng)
TD-313892.jpg
Western blot analysis using CD114 mouse mAb against A431 (1), K562 (2), THP-1 (3), MOLT4 (4), and Jurkat (5) cell lysate.
TD-313893.jpg
Flow cytometric analysis of Ramos cells using CD114 mouse mAb (green) and negative control (red).
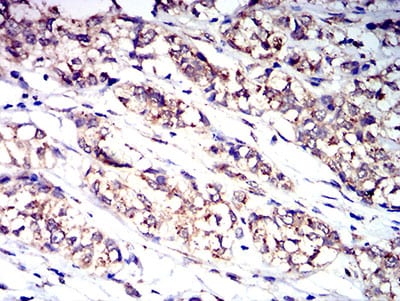
TD-313894.jpg
Immunohistochemical analysis of paraffin-embedded human bladder cancer tissues using CD114 mouse mAb with DAB staining.