EN
CD抗体
当前位置:首页 > 产品中心 > 抗体 > CD抗体
CD107B
All
  • CatalogTD-31377
  • ClonalitymAb
  • Application FCM, ELISA, IHC
  • SynonymsLAMPB; LAMP2; LAMP-2; LGP-96; LGP110
  • 规格
    100ul 50ul
  • 价格
    ¥2180
定制服务咨询
Mouse Monoclonal Antibody to CD107b
Description
The protein encoded by this gene is a member of a family of membrane glycoproteins. This glycoprotein provides selectins with carbohydrate ligands. It may play a role in tumor cell metastasis. It may also function in the protection, maintenance, and adhesion of the lysosome. Alternative splicing of this gene results in multiple transcript variants encoding distinct proteins.
Specification
Aliases LAMPB; LAMP2; LAMP-2; LGP-96; LGP110
Entrez GeneID 3920
Swissprot P13473
clone 6A10H10
WB Predicted band size 45kDa
Host/Isotype Mouse IgG1
Antibody Type Primary antibody
Storage Store at 4°C short term. Aliquot and store at -20°C long term. Avoid freeze/thaw cycles.
Species  Reactivity Human
Immunogen Purified recombinant fragment of human CD107b (AA: extra 29-168) expressed in E. Coli.
Formulation Purified antibody in PBS with 0.05% sodium azide
Application
IHC 1/200 - 1/1000
FCM 1/200 - 1/400
ELISA 1/10000
Product Image
TD-313771.jpg
Black line: Control Antigen (100 ng);Purple line: Antigen (10ng); Blue line: Antigen (50 ng); Red line:Antigen (100 ng)
TD-313772.jpg
Flow cytometric analysis of Jurkat cells using CD107b mouse mAb (green) and negative control (red).
TD-313773.jpg

 

Immunohistochemical analysis of paraffin-embedded human lung cancer tissues using CD107b mouse mAb with DAB staining.
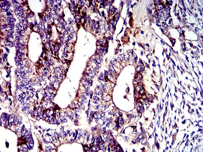
TD-313774.jpg
Immunohistochemical analysis of paraffin-embedded human cervical cancer tissues using CD107b mouse mAb with DAB staining.