EN
CD抗体
当前位置:首页 > 产品中心 > 抗体 > CD抗体
CD104
All
ELISA
WB
FCM
  • CatalogTD-31347
  • ClonalitymAb
  • Application FCM, ELISA, IHC, WB
  • SynonymsITGB4; GP150
  • 规格
    100ul 50ul
  • 价格
    ¥2180
定制服务咨询
Mouse Monoclonal Antibody to CD104
Description
Integrins are heterodimers comprised of alpha and beta subunits, that are noncovalently associated transmembrane glycoprotein receptors. Different combinations of alpha and beta polypeptides form complexes that vary in their ligand-binding specificities. Integrins mediate cell-matrix or cell-cell adhesion, and transduced signals that regulate gene expression and cell growth. This gene encodes the integrin beta 4 subunit, a receptor for the laminins. This subunit tends to associate with alpha 6 subunit and is likely to play a pivotal role in the biology of invasive carcinoma. Mutations in this gene are associated with epidermolysis bullosa with pyloric atresia. Multiple alternatively spliced transcript variants encoding distinct isoforms have been found for this gene.
Specification
Aliases ITGB4; GP150
Entrez   GeneID 3691
Swissprot P16144
clone 5G3G5
WB Predicted band size 202.2kDa
Host/Isotype Mouse IgG2a
Antibody Type Primary antibody
Storage Store at 4°C short term. Aliquot and store at -20°C long term. Avoid freeze/thaw cycles.
Species Reactivity Human
Immunogen Purified recombinant fragment of human CD104 (AA: extra 29-206) expressed in E. Coli.
Formulation Purified antibody in PBS with 0.05% sodium azide
Application
WB 1/500 - 1/2000
IHC 1/200 - 1/1000
FCM 1/200 - 1/400
ELISA 1/10000
Product Image
TD-313471.jpg
Black line: Control Antigen (100 ng);Purple line: Antigen (10ng); Blue line: Antigen (50 ng); Red line:Antigen (100 ng)
TD-313472.jpg
Western blot analysis using CD104 mouse mAb against A549 (1), A431 (2), and SW620 (3) cell lysate.
TD-313473.jpg
Flow cytometric analysis of HL-60 cells using CD104 mouse mAb (green) and negative control (red).
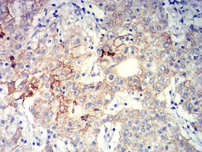
TD-313474.jpg
Immunohistochemical analysis of paraffin-embedded human stomach cancer tissues using CD104 mouse mAb with DAB staining.