EN
CD抗体
当前位置:首页 > 产品中心 > 抗体 > CD抗体
CD102
All
  • CatalogTD-31390
  • ClonalitymAb
  • Application FCM, IHC
  • SynonymsICAM2
  • 规格
    100ul 50ul
  • 价格
    ¥2180
定制服务咨询
Mouse Monoclonal Antibody to CD102
Description
The protein encoded by this gene is a member of the intercellular adhesion molecule (ICAM) family. All ICAM proteins are type I transmembrane glycoproteins, contain 2-9 immunoglobulin-like C2-type domains, and bind to the leukocyte adhesion LFA-1 protein. This protein may play a role in lymphocyte recirculation by blocking LFA-1-dependent cell adhesion. It mediates adhesive interactions important for antigen-specific immune response, NK-cell mediated clearance, lymphocyte recirculation, and other cellular interactions important for immune response and surveillance. Several transcript variants encoding the same protein have been found for this gene.
Specification
Aliases ICAM2
Entrez GeneID 3384
Swissprot P13598
clone 7A6E11
WB Predicted band size 30.7kDa
Host/Isotype Mouse IgG1
Antibody Type Primary antibody
Storage Store at 4°C short term. Aliquot and store at -20°C long term. Avoid freeze/thaw cycles.
Species Reactivity Human
Immunogen Purified recombinant fragment of human CD102 (AA: extra 25-223) expressed in E. Coli.
Formulation Purified antibody in PBS with 0.05% sodium azide
Application
IHC 1/200 - 1/1000
FCM 1/200 - 1/400
ELISA 1/10000
Product Image
TD-313901.jpg
Black line: Control Antigen (100 ng);Purple line: Antigen (10ng); Blue line: Antigen (50 ng); Red line:Antigen (100 ng)
TD-313902.jpg
Flow cytometric analysis of Ramos cells using CD102 mouse mAb (green) and negative control (red).
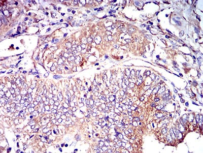
TD-313903.jpg
Immunohistochemical analysis of paraffin-embedded human cervical cancer tissues using CD102 mouse mAb with DAB staining.
 

 

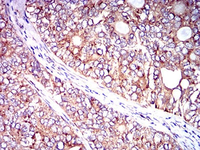
TD-313904.jpg
Immunohistochemical analysis of paraffin-embedded human endometrial cancer tissues using CD102 mouse mAb with DAB staining.