EN
CD抗体
当前位置:首页 > 产品中心 > 抗体 > CD抗体
CD100
All
  • CatalogTD-31317
  • ClonalitymAb
  • Application FCM, IHC
  • SynonymsSEMA4D; SEMAJ; coll-4; C9orf164; M-sema-G
  • 规格
    100ul 50ul
  • 价格
    ¥2180
定制服务咨询
Mouse Monoclonal Antibody to CD100
Description
SEMA4D (Semaphorin 4D) is a Protein Coding gene. Diseases associated with SEMA4D include Hemorrhagic Fever With Renal Syndrome. Among its related pathways are Guidance Cues and Growth Cone Motility and Developmental Biology. GO annotations related to this gene include receptor binding and transmembrane signaling receptor activity. An important paralog of this gene is SEMA4B.
Specification
Aliases SEMA4D; SEMAJ; coll-4; C9orf164; M-sema-G
Entrez GeneID 10507
Swissprot Q92854
clone 5C5B10
WB Predicted band size 96.2kDa
Host/Isotype Mouse IgG1
Antibody Type Primary antibody
Storage Store at 4掳C short term. Aliquot and store at -20掳C long term. Avoid freeze/thaw cycles.
Species Reactivity Human
Immunogen Purified recombinant fragment of human CD100 (AA: extra 590-734) expressed in E. Coli.
Formulation Purified antibody in PBS with 0.05% sodium azide
Application
IHC 1/200 - 1/1000
FCM 1/200 - 1/400
ELISA 1/10000
Product Image
TD-313171.jpg
Black line: Control Antigen (100 ng);Purple line: Antigen (10ng); Blue line: Antigen (50 ng); Red line:Antigen (100 ng)
TD-313172.jpg
Flow cytometric analysis of K562 cells using CD100 mouse mAb (green) and negative control (red).
TD-313173.jpg
Flow cytometric analysis of Ramos cells using CD100 mouse mAb (green) and negative control (red).
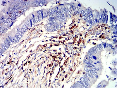
TD-313174.jpg
Immunohistochemical analysis of paraffin-embedded human rectum cancer tissues using CD100 mouse mAb with DAB staining.