EN
CD抗体
当前位置:首页 > 产品中心 > 抗体 > CD抗体
Mouse Monoclonal Antibody to CD97
All
ELISA
FCM
IHC
  • CatalogTD-31542
  • ClonalitymAb
  • Application FCM, IHC
  • SynonymsADGRE5; TM7LN1
  • 规格
    100ul 50ul
  • 价格
    ¥2180
定制服务咨询
Mouse Monoclonal Antibody to CD97
Description
This gene encodes a member of the EGF-TM7 subfamily of adhesion G protein-coupled receptors, which mediate cell-cell interactions. These proteins are cleaved by self-catalytic proteolysis into a large extracellular subunit and seven-span transmembrane subunit, which associate at the cell surface as a receptor complex. The encoded protein may play a role in cell adhesion as well as leukocyte recruitment, activation and migration, and contains multiple extracellular EGF-like repeats which mediate binding to chondroitin sulfate and the cell surface complement regulatory protein CD55. Expression of this gene may play a role in the progression of several types of cancer. Alternatively spliced transcript variants encoding multiple isoforms with 3 to 5 EGF-like repeats have been observed for this gene. This gene is found in a cluster with other EGF-TM7 genes on the short arm of chromosome 19.
Specification
Aliases ADGRE5; TM7LN1
Entrez GeneID 976
Swissprot P48960
clone​​​​​​​ 6D7E6
WB Predicted band size 91.8kDa
Host/Isotype Mouse IgG2a
Antibody Type Primary antibody
Storage​​​​​​​ Store at 4°C short term. Aliquot and store at -20°C long term. Avoid freeze/thaw cycles.
Species Reactivity Human
Immunogen​​​​​​​ Purified recombinant fragment of human CD97 (AA: extra 419-552) expressed in E. Coli.
Formulation Purified antibody in PBS with 0.05% sodium azide
Application
IHC 1/200 - 1/1000
FCM​​​​​​​ 1/200 - 1/400
ELISA 1/10000
Product Image
TD-315421.jpg
Black line: Control Antigen (100 ng);Purple line: Antigen (10ng); Blue line: Antigen (50 ng); Red line:Antigen (100 ng)
TD-315422.jpg
Flow cytometric analysis of HL-60 cells using CD97 mouse mAb (green) and negative control (red).
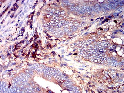
TD-315423.jpg
Immunohistochemical analysis of paraffin-embedded human rectum cancer tissues using CD97 mouse mAb with DAB staining.
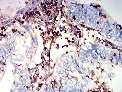
TD-315424.jpg
Immunohistochemical analysis of paraffin-embedded human endometrial cancer tissues using CD97 mouse mAb with DAB staining.