EN
CD抗体
当前位置:首页 > 产品中心 > 抗体 > CD抗体
CD93
All
ELISA
IF
FCM
  • CatalogTD-30570
  • ClonalitymAb
  • Application FCM, IHC, IF
  • SynonymsC1QR1; C1qRP; CDw93; ECSM3; MXRA4; C1qR(P); dJ737E23.1
  • 规格
    100ul 50ul
  • 价格
    ¥2180
定制服务咨询
Mouse Monoclonal Antibody to CD93
Description
The protein encoded by this gene is a cell-surface glycoprotein and type I membrane protein that was originally identified as a myeloid cell-specific marker. The encoded protein was once thought to be a receptor for C1q, but now is thought to instead be involved in intercellular adhesion and in the clearance of apoptotic cells. The intracellular cytoplasmic tail of this protein has been found to interact with moesin, a protein known to play a role in linking transmembrane proteins to the cytoskeleton and in the remodelling of the cytoskeleton.
Specification
Aliases C1QR1; C1qRP; CDw93; ECSM3; MXRA4; C1qR(P); dJ737E23.1
Entrez GeneID 22918
Swissprot Q9NPY3
clone 1A10E10
WB Predicted band size 68.6kDa
Host/Isotype Mouse IgG1
Antibody Type Primary antibody
Storage Store at 4°C short term. Aliquot and store at -20°C long term. Avoid freeze/thaw cycles.
Species Reactivity Human
Immunogen  Purified recombinant fragment of human CD93 (AA: 474-535) expressed in E. Coli.
Formulation Ascitic fluid containing 0.03% sodium azide.
Application
IHC 1/200 - 1/1000
IF​​​​​​ 1/200 - 1/1000
FCM 1/200 - 1/400
ELISA​​​​​​​ 1/10000
Product Image
TD-305704.jpg
Black line: Control Antigen (100 ng); Purple line: Antigen(10ng); Blue line: Antigen (50 ng); Red line: Antigen (100 ng);
TD-305701.jpg
Immunofluorescence analysis of Hela cells using CD93 mouse mAb (green). Blue: DRAQ5 fluorescent DNA dye.
TD-305702.jpg
Flow cytometric analysis of HepG2 cells using CD93 mouse mAb (green) and negative control (red).
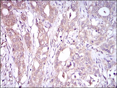
TD-305703.jpg
Immunohistochemical analysis of paraffin-embedded human cervical cancer tissues using CD93 mouse mAb with DAB staining.