EN
CD抗体
当前位置:首页 > 产品中心 > 抗体 > CD抗体
CD85K
All
  • CatalogTD-32039
  • ClonalitymAb
  • Application FCM, ELISA, IHC, ICC
  • SynonymsILT3; LIR5; LILRB4; ILT-3; LIR-5
  • 规格
    100ul 50ul
  • 价格
    ¥2180
定制服务咨询

  

Mouse Monoclonal Antibody to CD85K
Description
This gene is a member of the leukocyte immunoglobulin-like receptor (LIR) family, which is found in a gene cluster at chromosomal region 19q13.4. The encoded protein belongs to the subfamily B class of LIR receptors which contain two or four extracellular immunoglobulin domains, a transmembrane domain, and two to four cytoplasmic immunoreceptor tyrosine-based inhibitory motifs (ITIMs). The receptor is expressed on immune cells where it binds to MHC class I molecules on antigen-presenting cells and transduces a negative signal that inhibits stimulation of an immune response. The receptor can also function in antigen capture and presentation. It is thought to control inflammatory responses and cytotoxicity to help focus the immune response and limit autoreactivity. Multiple transcript variants encoding different isoforms have been found for this gene. [provided by RefSeq, Jul 2008]
Specification
Aliases ILT3; LIR5; LILRB4; ILT-3; LIR-5
Entrez GeneID 11006
Swissprot Q8NHJ6
clone 8F1H11
WB Predicted band size 49kDa
Host/ Isotype Mouse IgG1
Antibody Type Primary antibody
Storage Store at 4°C short term. Aliquot and store at -20°C long term. Avoid freeze/thaw cycles.
Species Reactivity Human
Immunogen Purified recombinant fragment of human CD85K (AA: 22-259) expressed in E. Coli.
Formulation Purified antibody in PBS with 0.05% sodium azide
Application
IHC 1/200 - 1/1000
IF 1/200 - 1/1000
FCM 1/200 - 1/400
ELISA 1/10000

Product Image

TD-320391.jpg
Black line: Control Antigen (100 ng);Purple line: Antigen (10ng); Blue line: Antigen (50 ng); Red line:Antigen (100 ng)
TD-320397.jpg
Immunofluorescence analysis of Hela cells using CD85K mouse mAb (green). Blue: DRAQ5 fluorescent DNA dye. Red: Actin filaments have been labeled with Alexa Fluor- 555 phalloidin. Secondary antibody from Fisher (Cat#: 35503)
TD-320393.jpg
Flow cytometric analysis of HL-60 cells using CD85K mouse mAb (green) and negative control (red).
TD-320392.jpg
Flow cytometric analysis of Jurkat cells using CD85K mouse mAb (green) and negative control (red).
TD-320394.jpg
Flow cytometric analysis of THP-1 cells using CD85K mouse mAb (green) and negative control (red).
TD-320395.jpg
Immunohistochemical analysis of paraffin-embedded human esophageal cancer tissues using CD85K mouse mAb with DAB staining.
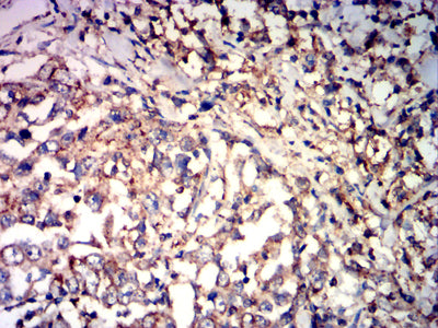
TD-320396.jpg
Immunohistochemical analysis of paraffin-embedded human stomach cancer tissues using CD85K mouse mAb with DAB staining.