EN
CD抗体
当前位置:首页 > 产品中心 > 抗体 > CD抗体
CD83
All
IHC
  • CatalogTD-P02479
  • ClonalitypAb
  • Application IHC
  • SynonymsBL11; HB15
  • 规格
    100ul
  • 价格
    ¥1980
定制服务咨询

Mouse Monoclonal Antibody to CD83


Description
The protein encoded by this gene is a single-pass type I membrane protein and member of the immunoglobulin superfamily of receptors. The encoded protein may be involved in the regulation of antigen presentation. A soluble form of this protein can bind to dendritic cells and inhibit their maturation. Three transcript variants encoding different isoforms have been found for this gene.
Specification
Aliases BL11; HB15
Swissprot Q01151
Host/Isotype Rabbit IgG
Antibody Type Primary antibody
Storage Store at 4°C short term. Aliquot and store at -20°C long term. Avoid freeze/thaw cycles.
Species Reactivity Human
Immunogen Fusion protein of human CD83
Formulation Purified antibody in PBS with 0.05% sodium azide and 50% glycerol.
Application
IHC 1/100-1/300
ELISA 1/5000-1/10000
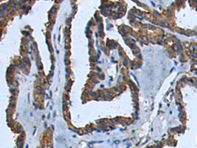
Product Image
TD-P02479 (280961).png
The image is immunohistochemistry of paraffin-embedded Human thyroid cancer tissue using P02479(CD83 Antibody) at dilution 1/120. (Original magnification: ×200)