EN
CD抗体
当前位置:首页 > 产品中心 > 抗体 > CD抗体
CD82
All
  • CatalogTD-32428
  • ClonalitymAb
  • Application WB, FCM, IHC
  • SynonymsR2; 4F9; C33; IA4; ST6; GR15; KAI1; SAR2; TSPAN27
  • 规格
    100ul 50ul
  • 价格
    ¥2180
定制服务咨询
Mouse Monoclonal Antibody to CD82
Description
This metastasis suppressor gene product is a membrane glycoprotein that is a member of the transmembrane 4 superfamily. Expression of this gene has been shown to be downregulated in tumor progression of human cancers and can be activated by p53 through a consensus binding sequence in the promoter. Its expression and that of p53 are strongly correlated, and the loss of expression of these two proteins is associated with poor survival for prostate cancer patients. Two alternatively spliced transcript variants encoding distinct isoforms have been found for this gene.
Specification
Aliases R2; 4F9; C33; IA4; ST6; GR15; KAI1; SAR2; TSPAN27
Entrez GeneID 3732
Swissprot P27701
clone 5D5D5
WB Predicted band size 29.6kDa
Host/Isotype Mouse IgG1
Antibody Type Primary antibody
Storage Store at 4°C short term. Aliquot and store at -20°C long term. Avoid freeze/thaw cycles.
Species Reactivity Human
Immunogen Purified recombinant fragment of human CD82 (AA: extra 111-228) expressed in E. Coli.
Formulation Purified antibody in PBS with 0.05% sodium azide
Application
WB 1/500 - 1/2000
IHC 1/200 - 1/1000
FCM 1/200 - 1/400
ELISA 1/10000
Product Image

TD-324281.jpg

TD-324282.jpg

 

TD-324283.jpg

 
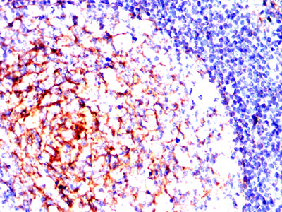
Black line: Control Antigen (100 ng);Purple line: Antigen (10ng); Blue line: Antigen (50 ng); Red line:Antigen (100 ng) Flow cytometric analysis of Raji cells using CD82 mouse mAb (green) and negative control (red). Immunohistochemical analysis of paraffin-embedded human tonsil tissues using CD82 mouse mAb with DAB staining.

TD-324284.jpg

TD-324285.jpg

 

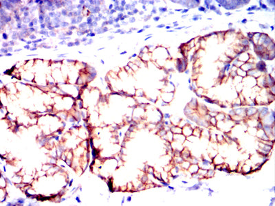
TD-324286.jpg

 
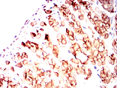
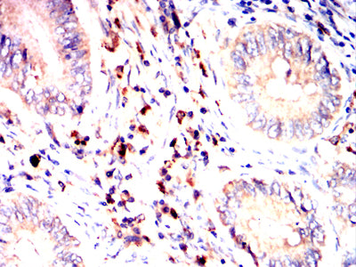
Immunohistochemical analysis of paraffin-embedded human rectum cancer tissues using CD82 mouse mAb with DAB staining. Immunohistochemical analysis of paraffin-embedded rabbit stomach tissues using CD82 mouse mAb with DAB staining. Immunohistochemical analysis of paraffin-embedded rabbit small intestine tissues using CD82 mouse mAb with DAB staining.