EN
CD抗体
当前位置:首页 > 产品中心 > 抗体 > CD抗体
Rabbit Polyclonal Antibody to CD70
All
  • CatalogTD-P05527
  • ClonalitypAb
  • Application WB, IHC
  • SynonymsCD27L; LPFS3; CD27-L; CD27LG; TNFSF7; TNLG8A
  • 规格
    100ul
  • 价格
    ¥1980
定制服务咨询

Rabbit Polyclonal Antibody to CD70


 

Description
The protein encoded by this gene is a cytokine that belongs to the tumor necrosis factor (TNF) ligand family. This cytokine is a ligand for TNFRSF27/CD27. It is a surface antigen on activated, but not on resting, T and B lymphocytes. It induces proliferation of costimulated T cells, enhances the generation of cytolytic T cells, and contributes to T cell activation. This cytokine is also reported to play a role in regulating B-cell activation, cytotoxic function of natural killer cells, and immunoglobulin sythesis.
Specification
Aliases CD27L; LPFS3; CD27-L; CD27LG; TNFSF7; TNLG8A
Swissprot P32970
WB Predicted band size 21 kDa
Host/Isotype Rabbit IgG
Antibody Type Primary antibody
Storage Store at 4°C short term. Aliquot and store at -20°C long term. Avoid freeze/thaw cycles.
Species Reactivity Human, Mouse
Immunogen Synthetic peptide of human CD70
Formulation pH7.4 PBS, 0.05% NaN3, 40% Glycerol
Application
WB 1/500-1/2000
IHC 1/50-1/100
ELISA 1/5000-1/10000
Product Image

TD-P055271(514827).png

Gel: 12%SDS-PAGE, Lysate: 40 μg, Lane: A172 cell lysate, Primary antibody: P05527(CD70 Antibody) at dilution 1/650, Secondary antibody: Goat anti rabbit IgG at 1/5000 dilution, Exposure time: 30 seconds

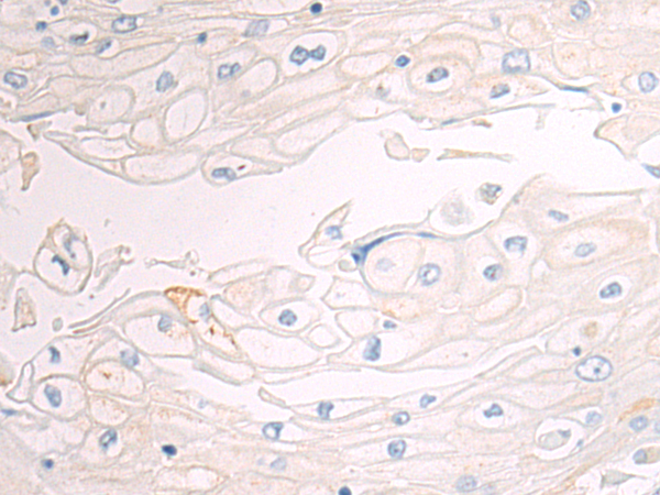
TD-P055272(514827).png

The image is immunohistochemistry of paraffin-embedded Human esophagus cancer tissue using P05527(CD70 Antibody) at dilution 1/50. (Original magnification: ×200)