EN
CD抗体
当前位置:首页 > 产品中心 > 抗体 > CD抗体
Mouse Monoclonal Antibody to CD69
All
  • CatalogTD-30021
  • ClonalitymAb
  • Application WB, IHC, FCM
  • SynonymsCLEC2C; CD69
  • 规格
    100ul 50ul
  • 价格
    ¥2180
定制服务咨询

Mouse Monoclonal Antibody to CD69


 

Description
Involved in lymphocyte proliferation and functions as a signal transmitting receptor in lymphocytes, natural killer (NK) cells, andplatelets Subcellular location: Membrane, Single-pass type II membrane protein Tissue specificity: Expressed on the surface of activated T-cells, B-cells, natural killer cells, neutrophils, eosinophils, epidermal Langerhanscells and platelets Sequence similarities: Contains 1 C-type lectin domain.
Specification
Aliases CLEC2C; CD69
Entrez GeneID 969
Swissprot Q07108
clone 8B6
WB Predicted band size 22.5kDa
Host/Isotype Mouse IgG1
Antibody Type Primary antibody
Storage Store at 4°C short term. Aliquot and store at -20°C long term. Avoid freeze/thaw cycles.
Species Reactivity Human
Immunogen Purified recombinant fragment of human CD69 expressed in E. Coli.
Formulation Ascitic fluid containing 0.03% sodium azide.
Application
WB 1/500 - 1/2000
IHC 1/200 - 1/1000
FCM 1/200 - 1/400
ELISA 1/10000
   
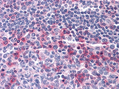
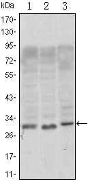
Product Image
TD-300211.jpg
TD-300213.jpg

TD-300212.jpg

 
Western blot analysis using CD69 mouse mAb against, Jurkat (1), L1210 (2) and TPH-1 (3) cell lysate.
 
Flow cytometric analysis of Jurkat cells using CD69 mouse mAb (green) and negative control (purple).
 
Immunohistochemical analysis of paraffin-embedded human Tonsil tissues using anti-CD69 mouse mAb