|
Black line: Control Antigen (100 ng); Purple line: Antigen(10ng); Blue line: Antigen (50 ng); Red line: Antigen (100 ng);
|
Western blot analysis using CD68 mouse mAb against U937 (1), Hela (2), HepG2 (3), Jurkat (4) cell lysate.
|
Immunofluorescence analysis of Hela cells using CD68 mouse mAb (green). Blue: DRAQ5 fluorescent DNA dye.
|

Flow cytometric analysis of Hela cells using CD68 mouse mAb (green) and negative control (red).
|
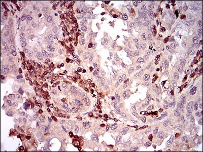
Immunohistochemical analysis of paraffin-embedded human endometrial cancer tissues using CD68 mouse mAb with DAB staining.
|
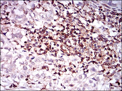
Immunohistochemical analysis of paraffin-embedded human bladder cancer tissues using CD68 mouse mAb with DAB staining.
|