EN
CD抗体
当前位置:首页 > 产品中心 > 抗体 > CD抗体
Mouse Monoclonal Antibody to CD66A
All
  • CatalogTD-31433
  • ClonalitymAb
  • Application WB, IHC, FCM
  • SynonymsCEACAM1; BGP; BGP1; BGPI
  • 规格
    100ul 50ul
  • 价格
    ¥2180
定制服务咨询

Mouse Monoclonal Antibody to CD66A


 

Description
This gene encodes a member of the carcinoembryonic antigen (CEA) gene family, which belongs to the immunoglobulin superfamily. Two subgroups of the CEA family, the CEA cell adhesion molecules and the pregnancy-specific glycoproteins, are located within a 1.2 Mb cluster on the long arm of chromosome 19. Eleven pseudogenes of the CEA cell adhesion molecule subgroup are also found in the cluster. The encoded protein was originally described in bile ducts of liver as biliary glycoprotein. Sub/sequently, it was found to be a cell-cell adhesion molecule detected on leukocytes, epithelia, and endothelia. The encoded protein mediates cell adhesion via homophilic as well as heterophilic binding to other proteins of the subgroup. Multiple cellular activities have been attributed to the encoded protein, including roles in the differentiation and arrangement of tissue three-dimensional structure, angiogenesis, apoptosis, tumor suppression, metastasis, and the modulation of innate and adaptive immune responses. Multiple transcript variants encoding different isoforms have been reported, but the full-length nature of all variants has not been defined.
Specification
Aliases CEACAM1; BGP; BGP1; BGPI
Entrez GeneID 634
Swissprot P13688
clone 7B9G3
WB Predicted band size 57.6kDa
Host/Isotype Mouse IgG2b
Antibody Type Primary antibody
Storage Store at 4°C short term. Aliquot and store at -20°C long term. Avoid freeze/thaw cycles.
Species Reactivity Human
Immunogen Purified recombinant fragment of human CD66A (AA: extra 65-201) expressed in E. Coli.
Formulation Purified antibody in PBS with 0.05% sodium azide
Application
WB 1/500 - 1/2000
IHC 1/200 - 1/1000
FCM 1/200 - 1/400
ELISA 1/10000
Product Image
TD-314331.jpg

Black line: Control Antigen (100 ng);Purple line: Antigen (10ng); Blue line: Antigen (50 ng); Red line:Antigen (100 ng)

TD-314332.jpg

 
Western blot analysis using CD66A mouse mAb against HepG2 (1), SK-MES-1 (2), Hela (3), and A549 (4) cell lysate.

TD-314333.jpg

Flow cytometric analysis of Hela cells using CD66A mouse mAb (green) and negative control (red).

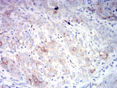
TD-314334.jpg

Immunohistochemical analysis of paraffin-embedded human lung cancer tissues using CD66A mouse mAb with DAB staining.

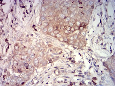
TD-314335.jpg

Immunohistochemical analysis of paraffin-embedded human cervical cancer tissues using CD66A mouse mAb with DAB staining.