EN
CD抗体
当前位置:首页 > 产品中心 > 抗体 > CD抗体
Mouse Monoclonal Antibody to CD63
All
  • CatalogTD-31423
  • ClonalitymAb
  • Application FCM, IHC
  • SynonymsMLA1; ME491; LAMP-3; OMA81H; TSPAN30
  • 规格
    100ul 50ul
  • 价格
    ¥2180
定制服务咨询

Mouse Monoclonal Antibody to CD63


 

Description
The protein encoded by this gene is a member of the transmembrane 4 superfamily, also known as the tetraspanin family. Most of these members are cell-surface proteins that are characterized by the presence of four hydrophobic domains. The proteins mediate signal transduction events that play a role in the regulation of cell development, activation, growth and motility. The encoded protein is a cell surface glycoprotein that is known to complex with integrins. It may function as a blood platelet activation marker. Deficiency of this protein is associated with Hermansky-Pudlak syndrome. Also this gene has been associated with tumor progression. Alternative splicing results in multiple transcript variants encoding different protein isoforms.
Specification
Aliases MLA1; ME491; LAMP-3; OMA81H; TSPAN30
Entrez GeneID 967
Swissprot P08962
clone 1E8D4
WB Predicted band size 25.6kDa
Host/Isotype Mouse IgG1
Antibody Type Primary antibody
Storage Store at 4°C short term. Aliquot and store at -20°C long term. Avoid freeze/thaw cycles.
Species Reactivity Human
Immunogen Purified recombinant fragment of human CD63 (AA: extra 103-203) expressed in E. Coli.
Formulation Purified antibody in PBS with 0.05% sodium azide
Application
IHC 1/200 - 1/1000
FCM 1/200 - 1/400
ELISA 1/10000
Product Image

TD-314231.jpg

 

TD-314232.jpg

 

TD-314233.jpg

 
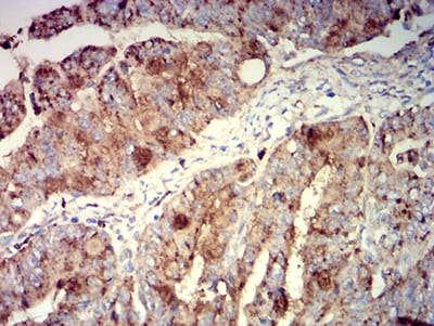
Black line: Control Antigen (100 ng);Purple line: Antigen (10ng); Blue line: Antigen (50 ng); Red line:Antigen (100 ng) Flow cytometric analysis of Hela cells using CD63 mouse mAb (green) and negative control (red). Immunohistochemical analysis of paraffin-embedded human cervical cancer tissues using CD63 mouse mAb with DAB staining.

TD-314234.jpg

 
   
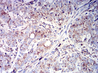
Immunohistochemical analysis of paraffin-embedded human rectum cancer tissues using CD63 mouse mAb with DAB staining.