EN
CD抗体
当前位置:首页 > 产品中心 > 抗体 > CD抗体
Rabbit Polyclonal Antibody to CD62L
All
  • CatalogTD-P23223
  • ClonalitypAb
  • Application WB, IHC
  • SynonymsSELL; LNHR; LYAM1; L-selectin; CD62 antigen-like family member L; Leukocyte adhesion molecule 1; LAM-1; Leukocyte surface antigen Leu-8; Leukocyte-endothelial cell adhesion molecule 1; LECAM1; Lymph node homing receptor; TQ1; gp90-MEL; CD62L
  • 规格
    100ul
  • 价格
    ¥2180
定制服务咨询

Rabbit Polyclonal Antibody to CD62L


 

Description
This gene encodes a cell surface adhesion molecule that belongs to a family of adhesion/homing receptors. The encoded protein contains a C-type lectin-like domain, a calcium-binding epidermal growth factor-like domain, and two short complement-like repeats. The gene product is required for binding and subs/equent rolling of leucocytes on endothelial cells, facilitating their migration into secondary lymphoid organs and inflammation sites. Single-nucleotide polymorphisms in this gene have been associated with various diseases including immunoglobulin A nephropathy. Alternatively spliced transcript variants have been found for this gene.
Specification
Aliases SELL; LNHR; LYAM1; L-selectin; CD62 antigen-like family member L; Leukocyte adhesion molecule 1; LAM-1; Leukocyte surface antigen Leu-8; Leukocyte-endothelial cell adhesion molecule 1; LECAM1; Lymph node homing receptor; TQ1; gp90-MEL; CD62L
Entrez GeneID 6402
Swissprot P14151
WB Predicted band size Calculated MW: 42 kDa; Obs/erved MW: 42 kDa
Host/Isotype Rabbit IgG
Antibody Type Primary antibody
Storage Store at 4°C short term. Aliquot and store at -20°C long term. Avoid freeze/thaw cycles.
Species Reactivity Human,Mouse,Rat
Immunogen Synthesized peptide derived from L-Selectin . at AA range: 60-140
Formulation Liquid in PBS containing 50% glycerol, 0.5% BSA and 0.02% sodium azide, pH 7.3.
Application
WB 1/500-1/1000
IHC 1/50-1/100
ELISA 1/10000
Product Image
TD-P232231.jpg
 

TD-P232232.jpg

 

TD-P232233.jpg

 
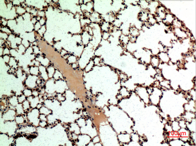
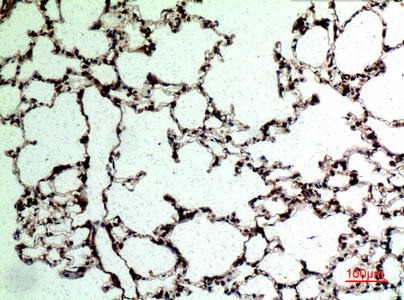
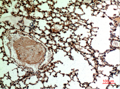
Western blot analysis of CD62L in K562 lysates using CD62L antibody. Immunohistochemistry analysis of paraffin-embedded rat lung using CD62L antibody.High-pressure and temperature Sodium Citrate pH 6.0 was used for antigen retrieval. Immunohistochemistry analysis of paraffin-embedded rat lung using CD62L antibody. High-pressure and temperature Sodium Citrate pH 6.0 was used for antigen retrieval.

TD-P232234.jpg

 

TD-P232235.jpg

 

TD-P232236.jpg

 
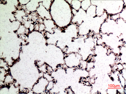
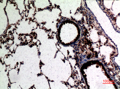
Immunohistochemistry analysis of paraffin-embedded rat lung using CD62L antibody.High-pressure and temperature Sodium Citrate pH 6.0 was used for antigen retrieval. Immunohistochemistry analysis of paraffin-embedded mouse lung using CD62L antibody.High-pressure and temperature Sodium Citrate pH 6.0 was used for antigen retrieval. Immunohistochemistry analysis of paraffin-embedded mouse lung using CD62L antibody.High-pressure and temperature Sodium Citrate pH 6.0 was used for antigen retrieval.