EN
CD抗体
当前位置:首页 > 产品中心 > 抗体 > CD抗体
Mouse Monoclonal Antibody to CD61
All
  • CatalogTD-31581
  • ClonalitymAb
  • Application IHC, FCM
  • SynonymsITGB3; GT; GP3A; BDPLT2; GPIIIa; BDPLT16
  • 规格
    100ul 50ul
  • 价格
    ¥2180
定制服务咨询

Mouse Monoclonal Antibody to CD61


 

Description
The ITGB3 protein product is the integrin beta chain beta 3. Integrins are integral cell-surface proteins composed of an alpha chain and a beta chain. A given chain may combine with multiple partners resulting in different integrins. Integrin beta 3 is found along with the alpha IIb chain in platelets. Integrins are known to participate in cell adhesion as well as cell-surface mediated signalling.
Specification
Aliases ITGB3; GT; GP3A; BDPLT2; GPIIIa; BDPLT16
Entrez GeneID 3690
Swissprot P05106
clone 3E8A6
WB Predicted band size 87kDa
Host/Isotype Mouse IgG1
Antibody Type Primary antibody
Storage Store at 4°C short term. Aliquot and store at -20°C long term. Avoid freeze/thaw cycles.
Species Reactivity Human
Immunogen Purified recombinant fragment of human CD61 (AA: extra 27-179) expressed in E. Coli.
Formulation Purified antibody in PBS with 0.05% sodium azide
Application
IHC 1/200 - 1/1000
FCM 1/200 - 1/400
ELISA 1/10000
Product Image
TD-315811.jpg
TD-315812.jpg
TD-315813.jpg
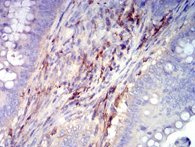
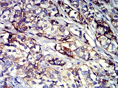
Black line: Control Antigen (100 ng);Purple line: Antigen (10ng); Blue line: Antigen (50 ng); Red line:Antigen (100 ng) Flow cytometric analysis of HL-60 cells using CD61 mouse mAb (green) and negative control (red). Immunohistochemical analysis of paraffin-embedded human bladder cancer tissues using CD61 mouse mAb with DAB staining.
TD-315814.jpg
   
Immunohistochemical analysis of paraffin-embedded human rectum cancer tissues using CD61 mouse mAb with DAB staining.