EN
CD抗体
当前位置:首页 > 产品中心 > 抗体 > CD抗体
Mouse Monoclonal Antibody to CD53
All
  • CatalogTD-31520
  • ClonalitymAb
  • Application WB, IHC, FCM
  • SynonymsMOX44; TSPAN25
  • 规格
    100ul 50ul
  • 价格
    ¥2180
定制服务咨询

Mouse Monoclonal Antibody to CD53


 

Description
The protein encoded by this gene is a member of the transmembrane 4 superfamily, also known as the tetraspanin family. Most of these members are cell-surface proteins that are characterized by the presence of four hydrophobic domains. The proteins mediate signal transduction events that play a role in the regulation of cell development, activation, growth and motility. This encoded protein is a cell surface glycoprotein that is known to complex with integrins. It contributes to the transduction of CD2-generated signals in T cells and natural killer cells and has been suggested to play a role in growth regulation. Familial deficiency of this gene has been linked to an immunodeficiency associated with recurrent infectious diseases caused by bacteria, fungi and viruses. Alternative splicing results in multiple transcript variants.
Specification
Aliases MOX44; TSPAN25
Entrez GeneID 963
Swissprot P19397
clone 7A8D3
WB Predicted band size 24.3kDa
Host/Isotype Mouse IgG2a
Antibody Type Primary antibody
Storage Store at 4°C short term. Aliquot and store at -20°C long term. Avoid freeze/thaw cycles.
Species Reactivity Human
Immunogen Purified recombinant fragment of human CD53 (AA: extra mix) expressed in E. Coli.
Formulation Purified antibody in PBS with 0.05% sodium azide
Application
WB 1/500 - 1/2000
IHC 1/200 - 1/1000
FCM 1/200 - 1/400
ELISA 1/10000
Product Image
TD-315201.jpg
TD-315202.jpg
TD-315203.jpg
Black line: Control Antigen (100 ng);Purple line: Antigen (10ng); Blue line: Antigen (50 ng); Red line:Antigen (100 ng) Western blot analysis using CD53 mouse mAb against Raji (1), Ramos (2), Jurkat (3), MOLT4 (4), K562 (5), HL-60 (6), THP-1 (7), and U937 (8) cell lysate. Flow cytometric analysis of HL-60 cells using CD53 mouse mAb (green) and negative control (red).

TD-315204.jpg

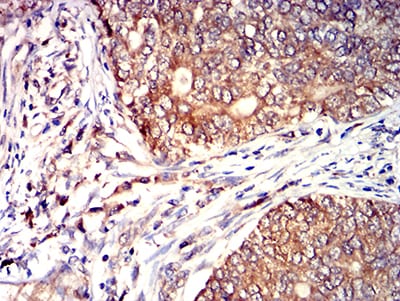
Immunohistochemical analysis of paraffin-embedded human cervical cancer tissues using CD53 mouse mAb with DAB staining.

 

TD-315205.jpg

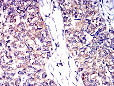
Immunohistochemical analysis of paraffin-embedded human bladder cancer tissues using CD53 mouse mAb with DAB staining.