EN
CD抗体
当前位置:首页 > 产品中心 > 抗体 > CD抗体
Rabbit Polyclonal Antibody to CD52
All
  • CatalogTD-P06890
  • ClonalitymAb
  • Application IHC
  • SynonymsHE5; CDW52; EDDM5
  • 规格
    100ul 50ul
  • 价格
    ¥2180
定制服务咨询

Rabbit Polyclonal Antibody to CD52


 

Description
May play a role in carrying and orienting carbohydrate, as well as having a more specific role.
Specification
Aliases HE5; CDW52; EDDM5
Swissprot P31358
Host/Isotype Rabbit IgG
Antibody Type Primary antibody
Storage Store at 4°C short term. Aliquot and store at -20°C long term. Avoid freeze/thaw cycles.
Species Reactivity Human
Immunogen Synthetic peptide of human CD52
Formulation pH7.4 PBS, 0.05% NaN3, 40% Glycerol
Application
IHC 1/50-1/100
ELISA 1/5000-1/10000
Product Image

TD-P068901.png

The image is immunohistochemistry of paraffin-embedded Human colorectal cancer tissue using P06890(CD52 Antibody) at dilution 1/50. (Original magnification: ×200)

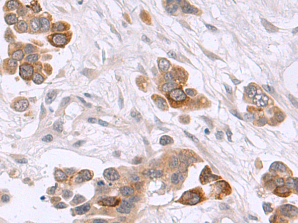
TD-P068902.png

The image is immunohistochemistry of paraffin-embedded Human cervical cancer tissue using P06890(CD52 Antibody) at dilution 1/50. (Original magnification: ×200)