EN
CD抗体
当前位置:首页 > 产品中心 > 抗体 > CD抗体
Mouse Monoclonal Antibody to CD46
All
  • CatalogTD-31495
  • ClonalitymAb
  • Application FCM, IHC
  • SynonymsMCP; TLX; AHUS2; MIC10; TRA2.10
  • 规格
    100ul 50ul
  • 价格
    ¥2180
定制服务咨询

Mouse Monoclonal Antibody to CD46


 

Description
The protein encoded by this gene is a type I membrane protein and is a regulatory part of the complement system. The encoded protein has cofactor activity for inactivation of complement components C3b and C4b by serum factor I, which protects the host cell from damage by complement. In addition, the encoded protein can act as a receptor for the Edmonston strain of measles virus, human herpesvirus-6, and type IV pili of pathogenic Neisseria. Finally, the protein encoded by this gene may be involved in the fusion of the spermatozoa with the oocyte during fertilization. Mutations at this locus have been associated with susceptibility to hemolytic uremic syndrome. Alternatively spliced transcript variants encoding different isoforms have been described.
Specification
Aliases MCP; TLX; AHUS2; MIC10; TRA2.10
Entrez GeneID 4179
Swissprot P15529
clone 1A5A5
WB Predicted band size 43.7kDa
Host/Isotype Mouse IgG1
Antibody Type Primary antibody
Storage Store at 4°C short term. Aliquot and store at -20°C long term. Avoid freeze/thaw cycles.
Species Reactivity Human
Immunogen Purified recombinant fragment of human CD46 (AA: extra 35-179) expressed in E. Coli.
Formulation Purified antibody in PBS with 0.05% sodium azide
Application
IHC 1/200 - 1/1000
FCM 1/200 - 1/400
ELISA 1/10000
Product Image
TD-314951.jpg
 
TD-314952.jpg
 
TD-314953.jpg
 
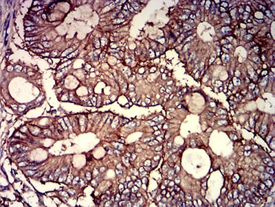
Black line: Control Antigen (100 ng);Purple line: Antigen (10ng); Blue line: Antigen (50 ng); Red line:Antigen (100 ng) Flow cytometric analysis of K562 cells using CD46 mouse mAb (green) and negative control (red). Immunohistochemical analysis of paraffin-embedded human cervical cancer tissues using CD46 mouse mAb with DAB staining.
TD-314954.jpg
 
   
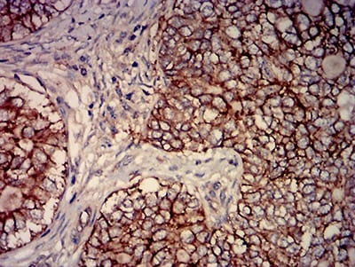
Immunohistochemical analysis of paraffin-embedded human rectum cancer tissues using CD46 mouse mAb with DAB staining.