EN
CD抗体
当前位置:首页 > 产品中心 > 抗体 > CD抗体
Mouse Monoclonal Antibody to CD45R
All
  • CatalogTD-31935
  • ClonalitymAb
  • Application FCM, IHC, WB, ICC
  • SynonymsPTPRC; LCA; LY5; B220; L-CA; T200; CD45; GP180
  • 规格
    100ul 50ul
  • 价格
    ¥2180
定制服务咨询

Mouse Monoclonal Antibody to CD45R


 

Description
The protein encoded by this gene is a member of the protein tyrosine phosphatase (PTP) family. PTPs are known to be signaling molecules that regulate a variety of cellular processes including cell growth, differentiation, mitosis, and oncogenic transformation. This PTP contains an extracellular domain, a single transmembrane segment and two tandem intracytoplasmic catalytic domains, and thus is classified as a receptor type PTP. This PTP has been shown to be an essential regulator of T- and B-cell antigen receptor signaling. It functions through either direct interaction with components of the antigen receptor complexes, or by activating various Src family kinases required for the antigen receptor signaling. This PTP also suppresses JAK kinases, and thus functions as a regulator of cytokine receptor signaling. Alternatively spliced transcripts variants of this gene, which encode distinct isoforms, have been reported.
Specification
Aliases PTPRC; LCA; LY5; B220; L-CA; T200; CD45; GP180
Entrez GeneID 5788
Swissprot P08575
clone 2H3E2
WB Predicted band size 147.5kDa
Host/Isotype Mouse IgG1
Antibody Type Primary antibody
Storage Store at 4°C short term. Aliquot and store at -20°C long term. Avoid freeze/thaw cycles.
Species Reactivity Human, Mouse, Rat
Immunogen Purified recombinant fragment of human CD45R (AA: extra 378-577) expressed in E. Coli.
Formulation Purified antibody in PBS with 0.05% sodium azide
Application
WB 1/500 - 1/2000
IHC 1/200-1/1000
IF 1/200 - 1/1000
FCM 1/200-1/400
ELISA 1/10000
Product Image
TD-319351.jpg
 
TD-319352.jpg
 

TD-319355.jpg

 
Black line: Control Antigen (100 ng);Purple line: Antigen (10ng); Blue line: Antigen (50 ng); Red line: Antigen (100 ng) Western blot analysis using CD45R mouse mAb against Jurkat (1), Rat Serum (2), and mouse Serum (3) cell lysate. Immunofluorescence analysis of Hela cells using CD45R mouse mAb (green). Blue: DRAQ5 fluorescent DNA dye. Red: Actin filaments have been labeled with Alexa Fluor- 555 phalloidin. Secondary antibody from Fisher (Cat#: 35503)
TD-319353.jpg
 
TD-319354.jpg
 

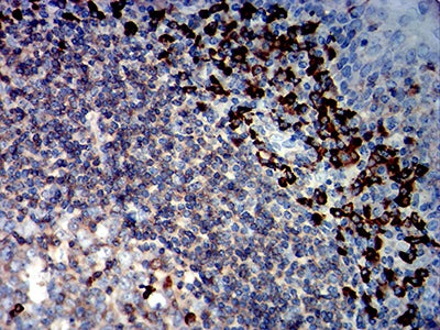
TD-319356.jpg

 
Flow cytometric analysis of Hela cells using CD45R mouse mAb (green) and negative control (red). Flow cytometric analysis of Jurkat cells using CD45R mouse mAb (green) and negative control (red). Immunohistochemical analysis of paraffin-embedded human tonsil tissues using CD45R mouse mAb with DAB staining.

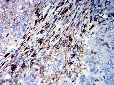
TD-319357.jpg

 
   
Immunohistochemical analysis of paraffin-embedded human cervical cancer tissues using CD45R mouse mAb with DAB staining.