EN
CD抗体
当前位置:首页 > 产品中心 > 抗体 > CD抗体
Mouse Monoclonal Antibody to CD45
All
  • CatalogTD-20298
  • ClonalitymAb
  • Application IHC
  • SynonymsLCA; LY5; B220; CD45; T200; CD45R; GP180; PTPRC
  • 规格
    100ul 50ul
  • 价格
    ¥2180
定制服务咨询

Mouse Monoclonal Antibody to CD45


Description
CD45, also known as TPRC(protein tyrosine phosphatase, receptor type, C). The protein encoded by this gene is a member of the protein tyrosine phosphatase (PTP) family. PTPs are known to be signaling molecules that regulate a variety of cellular processes including cell growth, differentiation, mitotic cycle, and oncogenic transformation. This PTP contains an extracellular domain, a single transmembrane segment and two tandem intracytoplasmic catalytic domains, and thus belongs to receptor type PTP. This gene is specifically expressed in hematopoietic cells. This PTP has been shown to be an essential regulator of T- and B-cell antigen receptor signaling. It functions through either direct interaction with components of the antigen receptor complexes, or by activating various Src family kinases required for the antigen receptor signaling. This PTP also suppresses JAK kinases, and thus functions as a regulator of cytokine receptor signaling. Four alternatively spliced transcripts variants of this gene, which encode distinct isoforms, have been reported.
Specification
Aliases LCA; LY5; B220; CD45; T200; CD45R; GP180; PTPRC
Entrez GeneID 5788
Swissprot P08575
clone 4A8A4C7A2
Host/Isotype Mouse IgG1
Antibody Type Primary antibody
Storage Store at 4°C short term. Aliquot and store at -20°C long term. Avoid freeze/thaw cycles.
Species Reactivity Human
Immunogen Purified recombinant fragment of CD45 expressed in E. Coli.
Formulation Ascitic fluid containing 0.03% sodium azide.
Application
IHC 1/200 - 1/1000
ELISA 1/10000
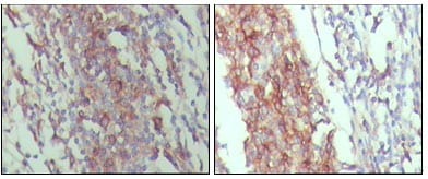
Product Image
TD-202981.jpg
Immunohistochemical analysis of paraffin-embedded human lymph node tissue,showing membrane and cytoplasmic localization with DAB staining using CD45 mouse mAb.