EN
CD抗体
当前位置:首页 > 产品中心 > 抗体 > CD抗体
Mouse Monoclonal Antibody to CD44
All
  • CatalogTD-20282
  • ClonalitymAb
  • Application WB, IHC, IF, FCM
  • SynonymsIN; LHR; MC56; MDU2; MDU3; MIC4; Pgp1; CDW44; CSPG8; HCELL
  • 规格
    100ul 50ul
  • 价格
    ¥2180
定制服务咨询

Mouse Monoclonal Antibody to CD44


Description
CD44, also known as IN, LHRMIC4, CDW44, HCELL. It is a cell-surface glycoprotein involved in cell-cell interactions, cell adhesion and migration. It is a receptor for hyaluronic acid (HA) and can also interact with other ligands, such as osteopontin, collagens, and matrix metalloproteinases (MMPs). This protein participates in a wide variety of cellular functions including lymphocyte activation, recirculation and homing, hematopoiesis, and tumor metastasis. Transcripts for this gene undergo complex alternative splicing that results in many functionally distinct isoforms, however, the full length nature of some of these variants has not been determined. Alternative splicing is the basis for the structural and functional diversity of this protein, and may be related to tumor metastasis.
Specification
Aliases IN; LHR; MC56; MDU2; MDU3; MIC4; Pgp1; CDW44; CSPG8; HCELL
Entrez GeneID 960
Swissprot P16070
clone 8E2F3
WB Predicted band size 82kDa
Host/Isotype Mouse IgG1
Antibody Type Primary antibody
Storage Store at 4°C short term. Aliquot and store at -20°C long term. Avoid freeze/thaw cycles.
Species Reactivity Human,Mouse
Immunogen Purified recombinant fragment of human CD44 (628-699) expressed in E. Coli.
Formulation Ascitic fluid containing 0.03% sodium azide.
Application
WB 1/500 - 1/1000
IHC 1/200 - 1/1000
IF 1/200 - 1/1000
FCM 1/200 - 1/400
ELISA 1/10000
Product Image

TD-202821.jpg

 

TD-202822.jpg

 

TD-202823.jpg

 
Western blot analysis using CD44 mouse mAb against Hela (1) and HUVE-12(2) cell lysate. Western blot analysis using CD44 mouse mAb against COS7(1),C6(2) cell lysate. Confocal analysis of paraffin-embedded human lung cancer tissues using CD44 mouse mAb (green), showing membrane localization. Blue: DRAQ5 fluorescent DNA dye.

TD-202824.jpg

 

TD-202825.jpg

 

TD-202826.jpg

 
Confocal Immunofluorescence analysis of PANC-1 cells using CD44 mouse mAb (green). Red: Actin filaments have been labeled with DY-554 phalloidin. Blue: DRAQ5 fluorescent DNA dye. Confocal Immunofluorescence analysis of PANC-1 cells using CD44 mouse mAb (green). Red: Actin filaments have been labeled with DY-554 phalloidin. Blue: DRAQ5 fluorescent DNA dye. Immunofluorescence analysis of RSC-96 cells using CD44 mouse mAb (green). Blue: DRAQ5 fluorescent DNA dye. Red: Actin filaments have been labeled with Alexa Fluor- 555 phalloidin.

TD-202827.jpg

 

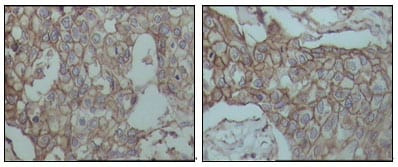
TD-202828.jpg

 

 

Flow cytometric analysis of Hela cells using CD44 mouse mAb (right) and negative control (left). Immunohistochemical analysis of paraffin-embedded human breast carcinoma tissues, showing membrane localization with DAB staining using CD44 mouse mAb. Immunohistochemical analysis of paraffin-embedded Rat colon(A) Rat spleen(B) Rat thymus(C) using CD44 mouse mAb with DAB staining.