EN
CD抗体
当前位置:首页 > 产品中心 > 抗体 > CD抗体
Rabbit Polyclonal Antibody to CD42c
All
  • CatalogTD-P23343
  • ClonalitymAb
  • Application IHC
  • SynonymsPlatelet glycoprotein Ib beta chain (GP-Ib beta; GPIb-beta; GPIbB; Antigen CD42b-beta; CD antigen CD42c)
  • 规格
    100ul
  • 价格
    ¥2180
定制服务咨询

Rabbit Polyclonal Antibody to CD42c


 

Description
Gp-Ib, a surface membrane protein of platelets, participates in the formation of platelet plugs by binding to von Willebrand factor, which is already bound to the subendothelium.
Specification
Aliases Platelet glycoprotein Ib beta chain (GP-Ib beta; GPIb-beta; GPIbB; Antigen CD42b-beta; CD antigen CD42c)
Entrez GeneID 2812
Swissprot P13224
Host/Isotype Rabbit IgG
Antibody Type Primary antibody
Storage Store at 4°C short term. Aliquot and store at -20°C long term. Avoid freeze/thaw cycles.
Species Reactivity Human,Mouse,Rat
Immunogen Synthetic peptide from human protein at AA range: 90-150
Formulation Liquid in PBS containing 50% glycerol, 0.5% BSA and 0.02% sodium azide, pH 7.3.
Application
IHC 1/50-1/100
ELISA 1/10000
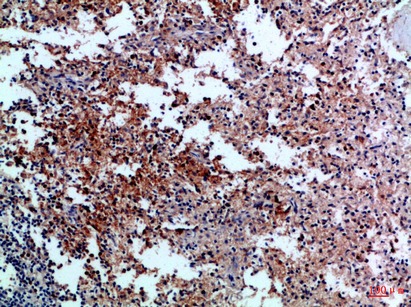
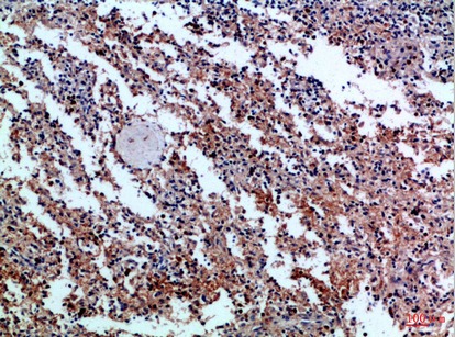
Product Image

TD-P233431.jpg

 

TD-P233432.jpg

 
 
Immunohistochemical analysis of paraffin-embedded Human tonsils using CD42c antibody.High-pressure and temperature Sodium Citrate pH 6.0 was used for antigen retrieval. Immunohistochemistry analysis of paraffin-embedded Human spleen using CD42c antibody.High-pressure and temperature Sodium Citrate pH 6.0 was used for antigen retrieval.