EN
CD抗体
当前位置:首页 > 产品中心 > 抗体 > CD抗体
Mouse Monoclonal Antibody to CD39
All
  • CatalogTD-31443
  • ClonalitymAb
  • Application IHC
  • SynonymsENTPD1; SPG64; ATPDase; NTPDase-1
  • 规格
    100ul 50ul
  • 价格
    ¥2180
定制服务咨询

Mouse Monoclonal Antibody to CD39


 

Description
The protein encoded by this gene is a plasma membrane protein that hydrolyzes extracellular ATP and ADP to AMP. Inhibition of this protein's activity may confer anticancer benefits. Several transcript variants encoding different isoforms have been found for this gene.
Specification
Aliases ENTPD1; SPG64; ATPDase; NTPDase-1
Entrez GeneID 953
Swissprot P49961
clone 6H12F9
WB Predicted band size 58kDa
Host/Isotype Mouse IgG1
Antibody Type Primary antibody
Storage Store at 4°C short term. Aliquot and store at -20°C long term. Avoid freeze/thaw cycles.
Species Reactivity Human
Immunogen Purified recombinant fragment of human CD39 (AA: extra 38-179) expressed in E. Coli.
Formulation Purified antibody in PBS with 0.05% sodium azide
Application
IHC 1/200 - 1/1000
ELISA 1/10000
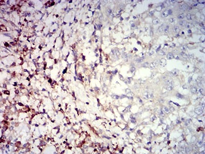
Product Image

TD-314431.jpg

 

TD-314432.jpg

 
 
Black line: Control Antigen (100 ng);Purple line: Antigen (10ng); Blue line: Antigen (50 ng); Red line:Antigen (100 ng) Immunohistochemical analysis of paraffin-embedded human stomach cancer tissues using CD39 mouse mAb with DAB staining.