EN
CD抗体
当前位置:首页 > 产品中心 > 抗体 > CD抗体
Mouse Monoclonal Antibody to SHH
All
  • CatalogTD-30375
  • ClonalitymAb
  • Application WB, IHC, FCM
  • SynonymsTPT; HHG1; HLP3; HPE3; SMMCI; TPTPS; MCOPCB5
  • 规格
    100ul 50ul
  • 价格
    ¥2180
定制服务咨询

Mouse Monoclonal Antibody to SHH


 

Description
This gene encodes a protein that is instrumental in patterning the early embryo. It has been implicated as the key inductive signal in patterning of the ventral neural tube, the anterior-posterior limb axis, and the ventral somites. Of three human proteins showing sequence and functional similarity to the sonic hedgehog protein of Drosophila, this protein is the most similar. The protein is made as a precursor that is autocatalytically cleaved; the N-terminal portion is soluble and contains the signalling activity while the C-terminal portion is involved in precursor processing. More importantly, the C-terminal product covalently attaches a cholesterol moiety to the N-terminal product, restricting the N-terminal product to the cell surface and preventing it from freely diffusing throughout the developing embryo. Defects in this protein or in its signalling pathway are a cause of holoprosencephaly (HPE), a disorder in which the developing forebrain fails to correctly separate into right and left hemispheres. HPE is manifested by facial deformities. It is also thought that mutations in this gene or in its signalling pathway may be responsible for VACTERL syndrome, which is characterized by vertebral defects, anal atresia, tracheoesophageal fistula with esophageal atresia, radial and renal dysplasia, cardiac anomalies, and limb abnormalities. Additionally, mutations in a long range enhancer located approximately 1 megabase upstream of this gene disrupt limb patterning and can result in preaxial polydactyly.
Specification
Aliases TPT; HHG1; HLP3; HPE3; SMMCI; TPTPS; MCOPCB5
Entrez GeneID 6469
Swissprot Q15465
clone 5H4
WB Predicted band size 49.6kDa
Host/Isotype Mouse IgG1
Antibody Type Primary antibody
Storage Store at 4°C short term. Aliquot and store at -20°C long term. Avoid freeze/thaw cycles.
Species Reactivity Human,Mouse,Monkey
Immunogen Purified recombinant fragment of human SHH (AA: 26-161) expressed in E. Coli.
Application
WB 1/500 - 1/2000
IHC 1/200 - 1/1000
FCM 1/200 - 1/400
ELISA 1/10000
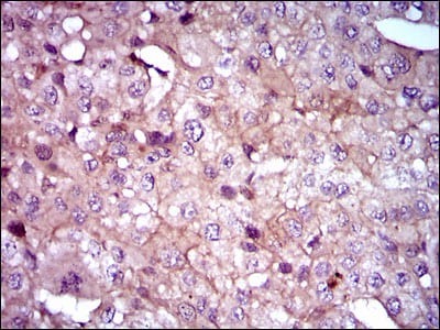
Product Image

TD-303754.jpg

 

TD-303751.jpg

 

TD-303753.jpg

 
Black line: Control Antigen (100 ng); Purple line: Antigen(10ng); Blue line: Antigen (50 ng); Red line: Antigen (100 ng); Western blot analysis using SHH mouse mAb against LNCaP (1), HepG2 (2), PANC-1 (3),HeLa (4), SK-N-SH (5), F9 (6), NIH3T3 (7), and COS7 (8) cell lysate. Flow cytometric analysis of HeLa cells using SHH mouse mAb (green) and negative control (red).

TD-303752.jpg

 
   
Immunohistochemical analysis of paraffin-embedded human liver cancer tissues using SHH mouse mAb with DAB staining.