EN
CD抗体
当前位置:首页 > 产品中心 > 抗体 > CD抗体
Mouse Monoclonal Antibody to CD23
All
  • CatalogTD-P20374
  • ClonalitymAb
  • Application ICC, IHC
  • SynonymsFCER2; CD23A; CLEC4J; FCE2; IGEBF; Low affinity immunoglobulin epsilon Fc receptor; BLAST-2; C-type lectin domain family 4 member J; Fc-epsilon-RII; Immunoglobulin E-binding factor; Lymphocyte IgE receptor; CD23
  • 规格
    100ul
  • 价格
    ¥2180
定制服务咨询

Mouse Monoclonal Antibody to CD23


 

Description
This receptor has essential roles in the regulation of IgE production and in the differentiation of B-cells (it is a B-cell-specific antigen).
Specification
Aliases FCER2; CD23A; CLEC4J; FCE2; IGEBF; Low affinity immunoglobulin epsilon Fc receptor; BLAST-2; C-type lectin domain family 4 member J; Fc-epsilon-RII; Immunoglobulin E-binding factor; Lymphocyte IgE receptor; CD23
Entrez GeneID 2208
Swissprot P06734
clone 10G2
Host/Isotype Mouse IgG1
Antibody Type Primary antibody
Storage Store at 4°C short term. Aliquot and store at -20°C long term. Avoid freeze/thaw cycles.
Species Reactivity Human,Mouse,Rat
Immunogen Synthetic Peptide of CD23
Formulation Liquid in PBS containing 50% glycerol, 0.5% BSA and 0.02% sodium azide, pH 7.3.
Application
IHC 1/50-1/100
ICC 1/50-1/200
Product Image
TD-P203741.jpg
 
TD-P203742.jpg
 

TD-P203743.jpg

 
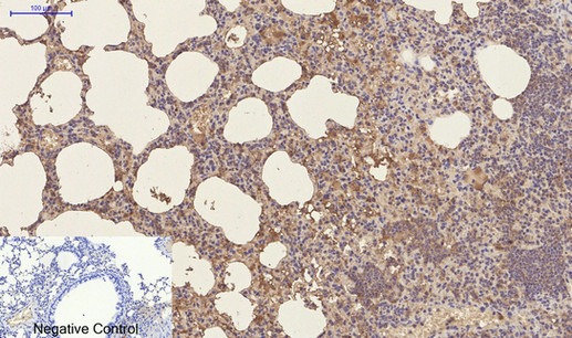
Immunofluorescence analysis of CD23 in Human stomach using CD23 antibody(red),and DAPI (blue). Immunofluorescence analysis of CD23 in rat lung tissue using CD23 antibody(1E9)(red),and DAPI (blue). Immunohistochemistry analysis of paraffin-embedded Human lung tissue using CD23 antibody. High-pressure and temperature Sodium Citrate pH 6.0 was used for antigen retrieval. Negative control was used by secondary antibody only.

TD-P203744.jpg

 

TD-P203745.jpg

 

TD-P203746.jpg

 
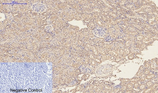
Immunohistochemistry analysis of paraffin-embedded rat kidney tissue using CD23 antibody.High-pressure and temperature Sodium Citrate pH 6.0 was used for antigen retrieval.Negative control was used by secondary antibody only. Immunohistochemistry analysis of paraffin-embedded mouse lung tissue using CD23 antibody.High-pressure and temperature Sodium Citrate pH 6.0 was used for antigen retrieval. Negative control was used by secondary antibody only. Immunohistochemistry analysis of paraffin-embedded Human tonsil tissue using CD23 antibody.High-pressure and temperature Sodium Citrate pH 6.0 was used for antigen retrieval.